아하
  • 토픽

  • 스파링

  • 잉크

  • 미션


의료상담

그래도커다란가자미

그래도커다란가자미

26.01.07

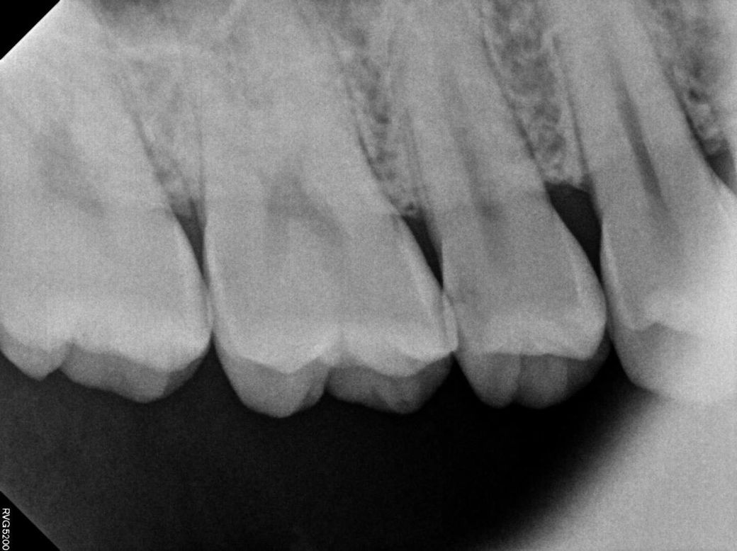
충치 x-ray 촬영사진 (치근단 촬영 포함) 봐주세요

1.지금 현재 치아 상태 알려주세요.

2.당장 치료가 필요여부 알려주세요.

3.견적 및 치료법도 부탁드립니다.

감사합니다.

  • 1번 째 사진
  • 2번 째 사진

2개의 답변이 있어요!

  • 안상우 치과의사

    안상우 치과의사

    목동안치과의원

    26.01.11

    안녕하세요. 안상우 치과의사입니다.

    치아 사이에 인접면충치가 있는것으로 보입니다.

    인접면에 충치가 있는 경우에는 일반적으로 보철치료를 하는경우가 많습니다.

    충치를 제거했을 경우 신경이 노출이 된다면 신경치료의 가능성이 있습니다.

    자세한 확인을 위해서 병원에서 진료를 받아보는 것을 권유드립니다.

  • 안녕하세요. 김철진 치과의사입니다.

    첫번째 사진이에 보이는 치아 2개는 치아 사이에 충치가 있는거 같습니다. 꽤 깊어 보이니 인레이 또는 신경치료 가능성도 있어 보입니다.