아하
  • 토픽

  • 스파링

  • 잉크

  • 미션


의료상담

아픈고양이7

아픈고양이7

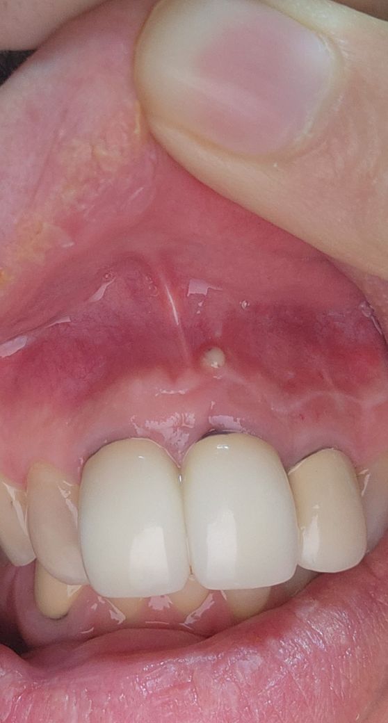
치과 잇몸 마취후 이런게 생겼는데 무엇일까요~?

안녕하세요 우선 답변 미리 감사드립니다.

치과 잇몸 마취후 사진에서 보이듯 이런게 생겼는데 무엇일까요~???????????

  • 1번 째 사진

5개의 답변이 있어요!

  • 김지훈 치과의사

    김지훈 치과의사

    메가

    안녕하세요. 김지훈 치과의사입니다.

    잇몸에 염증이 있는 것으로 보이며 마취와는 관계없이 치아나 잇몸에 문제로 염증이 있는 것 같습니다.

  • 안녕하세요. 김철진 치과의사입니다.

    저부분은 마취때문에 생긴게 아니라 치아 뿌리끝에서 염증이 생겨서 나오는 염증인거 같습니다. 재신경치료 또는 신경치료를 하셔야될수도 잇을것같습니다.

  • 안녕하세요. 최석민 치과의사입니다.

    사진상으로는 잇몸 염증이 있어서 농이 잡힌 것으로 보입니다. 마취와 관련성이 있을 가능성은 높지 않고 원래 잇몸 내지는 치아 속 신경에 염증이 있어 그 염증이 잇몸의 가장 약한 부위 (지금 해당 부위) 로 빠져나와 농 주머니를 형성한 것 같습니다.

  • 안녕하세요. 안상우 치과의사입니다.

    사진으로 봤을 경우에는 잇몸 위쪽에 물집 같은 것이 잡힌 것으로 보입니다 이런 물집은 보통 씨앗뿌리의 염증이 있는 경우에 생기는 경우가 많은데 치약 우리의 감염이 되면 그 감염 물질이 잇몸뼈를 뚫고 나와서 사진과 같이 부어오르게 됩니다.

    없애기 위해서는 원인 자체를 없애야 하는데 치아 안쪽 신경에 감염이 원인인 경우가 많기 때문에 신경치료가 필요할 수 있습니다 자세한 확인을 위해서 치과에서 진료를 받아 보세요

  • 탈퇴한 사용자

    탈퇴한 사용자

    안녕하세요. 김형준 치과의사입니다.


    농 주머니(sinus tract)가 생겼네요.

    그런데 아마 마취 때문에 생긴게 아니고.

    기존의에 있었던 농이 마취바늘을 통해 배출 통로가 생겨 흘러 나오는 것을 확률이 높습니다.