안녕하세요. 정진석 치과의사입니다.
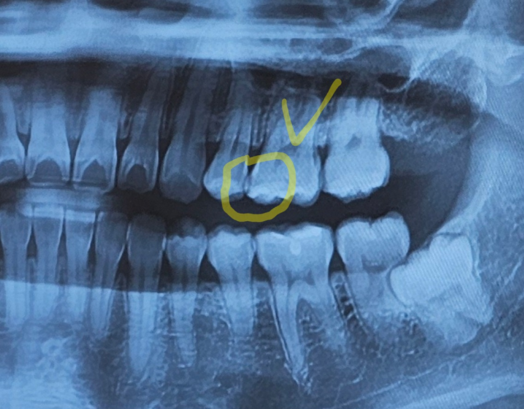
해당 사진은 panorama 사진으로 사진 상에서 치아가 겹쳐 보여 정확히 충치가 있는지 확인이 어렵습니다. 이러한 경우에는 해당 부분에 대한 정밀한 x-ray 사진 촬영이 필요하며 임상 검사도 더불어 이뤄져야 합니다. 지금 사진으로는 명확한 답변을 드리기 어렵습니다.
아무쪼록 저의 답변이 문제 해결에 작게 나마 도움이 될 수 있기를 기원드립니다. 항상 건강하고, 행복하세요^^
정진석 치과의사 드림
안녕하세요. 김철진 치과의사입니다.
엑스레이 상으로 치아가 겹쳐 잇어서 정확하게 보이진 않지만, 저상태라면 인접면에 약간 충치가 잇는것처럼 보이긴합니다.
안녕하세요. 안상우 치과의사입니다.
사진으로만 봤을 경우에는 인전 면에 방사선 투과성이 보이긴 합니다. 인접면 충치가 있을 수 있지만 실제 충치의 여부는 정확하게 확인을 해봐야 알 수 있을 것으로 생각됩니다.
안녕하세요. 김지훈 치과의사입니다.
치료가 필요한 것은 맞습니다. 치과에서 진단 들으신대로 치료 진행하시면 될 것 같습니다.
안녕하세요. 최석민 치과의사입니다.
인접면 충치의 경우 파노라마 사진에서는 치아끼리 겹쳐 보이는 경우가 있어서 판단이 어렵습니다 치근단 방사선사진(작은 x-ray) 중에서 교익 사진을 찍어 판단합니다
일단 주어진 파노라마 방사선 사진에서는 아주 큰 충치는 아닌것으로 보이긴 합니다
안녕하세요. 정경호 치과의사입니다.
방사선사진을 캡처한 사진이다 보니 화질이 좋지 않아 정확한 진단은 무리가 있으나, 체크하신 치아 mesial(안쪽)면과 그 앞쪽 치아 distal(먼쪽)면에 인접면 충치가 의심됩니다. 검진받으신 치과 선생님께서 방사선사진 검사 및 임상 검사를 하시고 수립하신 치료계획이니, 그 계획대로 치료 받으시면 무리없을 것으로 보입니다.

