의료상담
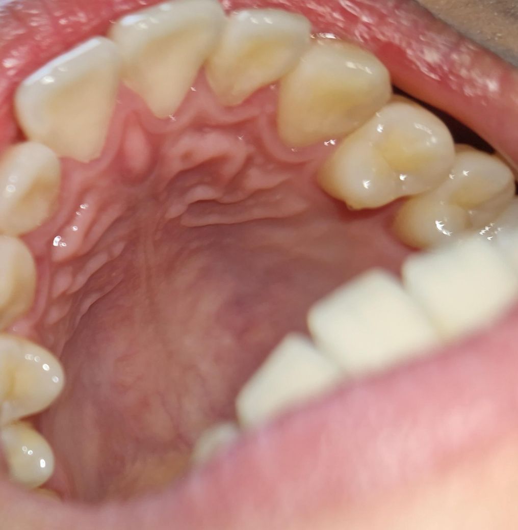
앞니 뒤 잇몸 쪽에 피맛같은게 계속 나요.
앞니 뒤 잇몸 쪽에 피맛같은게 계속 나요.
피는 딱히 안나는데 비릿 맛이 있어요.
잇몸 염증인가요?
그리고 잇몸이 내려간 것 같은더 정말 그런건지 궁금합니다.
55글자 더 채워주세요.
5개의 답변이 있어요!
안녕하세요. 안상우 치과의사입니다.
잇몸에서 출혈이 된다면 염증이 있을 가능성이 높습니다. 잇몸에 염증이 있는 원인은 치석 등에 의해서 생기기 때문에 이런 경우에는 스케일링이나 잇몸 치료를 받는 것이 좋을 수 있습니다.
자세한 확인을 위해서 치과에서 진료를 받아보는 것을 권유드립니다.
안녕하세요. 송준범 치과의사입니다.
보통 바깥쪽 잇몸이 내려가고 사진으로 안쪽 잇몸이
내려가보이지는 않습니다. 중간중간 플라그와 염증소견이 약간씩 관찰되어 스케일링 한번 받으시면 좋겠습니다.
안녕하세요. 김철진 치과의사입니다.
잇몸에 염증이 생겨서 그럴수도 잇으니 치과에 가셔서 스켈링 및 잇몸치료를 받아보시는게 좋을것같습니다.
안녕하세요. 김지훈 치과의사입니다.
피가 나는 것은 염증이 있어서 그럴 가능성이 높으며 잇몸이 퇴축되어있다고 보이지는 않습니다.
안녕하세요. 최석민 치과의사입니다.
잇몸퇴축이 심하진 않습니다 다만 치간 유두 부위가 부어있고 이는 위생관리 부족으로 생긴 염증같습니다 치과가서 스케일링 받아보세요

