아하
  • 토픽

  • 스파링

  • 잉크

  • 미션


의료상담

보람찬재칼24

보람찬재칼24

25.04.14

사랑니 옆 어금니 충치 때문에 사랑니를 발치했는데 궁금한게 있습니다.

어금니에 충치가 있는데 사정상 바로 치료는 못할것 같고 3주후에 할거 같습니다.

1.충치 부분만 갈아내고 때우기가 가능한거 같나요.

2. 3주동안 신경이 침범될만큼 충치가 더진행이 될까요?

3.리스테린이 충치 진행을 멈추는데 도움이 되는지. 리스테린 외에도 충치 멈추게 할게 있는지 궁금합니다. 그리고

이제 실밥을 풀었는데 리스테린을써도되는건지 궁금합니다.

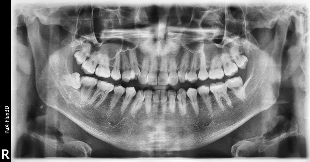
  • 1번 째 사진

4개의 답변이 있어요!

  • 김철진 치과의사

    김철진 치과의사

    가까운우리치과

    25.04.15

    안녕하세요. 김철진 치과의사입니다.

    사진상으로 왼쪽아래 사랑니 앞치아는 충치가 많이 진행된거 같습니다. 신경치료를 하거나 심하면 발치를 해야될정도 안좋은곳에충치가 생긴거 같습니다.

  • 안녕하세요. 안상우 치과의사입니다.

    사진으로 봤을 경우에 사병니 앞에 있는 부위의 충치는 잇몸 안쪽으로 깊게 들어간 것으로 보입니다. 간단하게 촉지를 치료한다기보다 크라운 등의 치료를 하는 것이 좋을 것으로 생각됩니다.

    3주 동안에 충치가 더 진행이 될 수도 있지만 식이 습관이나 관리에 따라 달라질 수 있기 때문에 정확하게 말씀드리긴 어려울 것으로 생각됩니다. 충치가 있다면 빠르게 치료를 하는 것이 좋습니다.

  • 안녕하세요. 김지훈 치과의사입니다.

    충치 부분만 갈아내고 때우기 힘들가능성이 높으며 사랑니 발치 후에 다시 검사해봐야겠습니다.

  • 안녕하세요. 최석민 치과의사입니다.

    1.충치 부분만 갈아내고 때우기가 가능한거 같나요 -> 충치가 좀 깊고 잇몸 하방입니다. 사랑니가 이제 없으니 접근은 되겠으나 신경치료 가능성이나 인레이 가능성도 있습니다.

    2. 3주동안 신경이 침범될만큼 충치가 더진행이 될까요? -> 그러진 않을 확률이 높습니다.

    3.리스테린이 충치 진행을 멈추는데 도움이 되는지. 리스테린 외에도 충치 멈추게 할게 있는지 궁금합니다 -> 별 도움은 안됩니다.