아하
  • 토픽

  • 스파링

  • 잉크

  • 미션


의료상담

윤혜스코

윤혜스코

25.05.16

신경치료 후 크라운을 다시 씌우는 정도로 해결 가능한 정도일까요..?

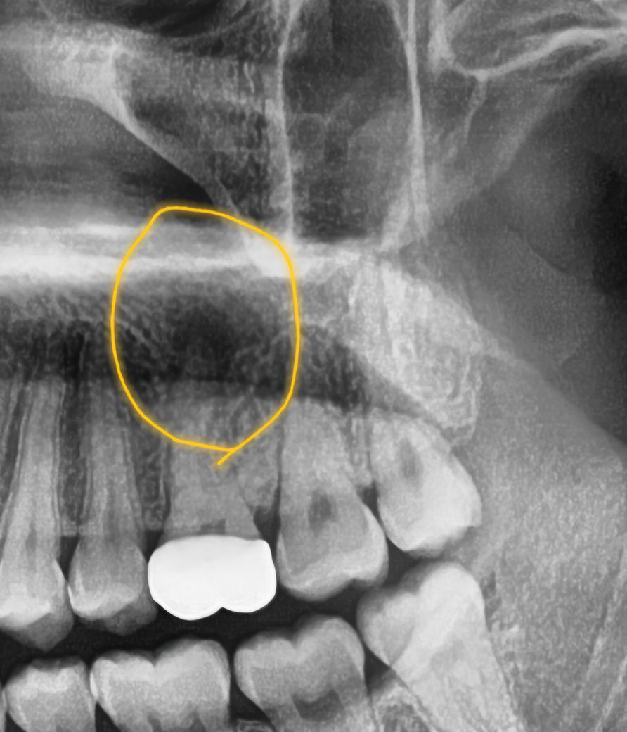
3개월 전 윗 어금니를 충치 레진치료 후 치아 파절로 지르코니아 크라운을 씌웠는데 그 뒤로 아무 이상이 없다가, 갑자기 4일 전부터 해당 치아가 있는 부위의 볼이 통증은 없고 살짝 부어 올라 치과에 갔더니 [해당 치아의 신경이 죽어있어 통증을 못느꼈던 것이고, 그 안에 염증이 퍼져 위쪽 공기주머니가 있는 곳 까지 번진 것 같다는 진단]을 받았습니다. 이를... 치근단 병소라고 하나요?

어느 정도로 심각하게 진행이 된건지 가늠이 잘 되지 않지만, 정말 통증이 1도 없어 이런 진단을 받게 될 줄 몰랐습니다..

진단 받았던 치과의 의사선생님께서는 [크라운을 벗겨내고 신경치료를 한 뒤에 다시 크라운을 씌우는 작업]을 해야할 것 같다고 하시는데 그렇게 하면 정말 해결이 되는 정도의 상태인지 궁금합니다...

심하면 발치 하여 임플란트를 해야하기도 하던데.. 그 또한 걱정이됩니다..

  • 1번 째 사진
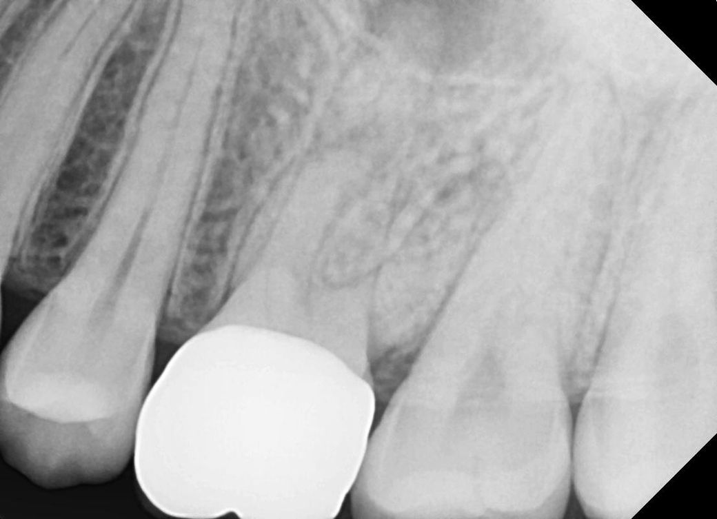
  • 2번 째 사진
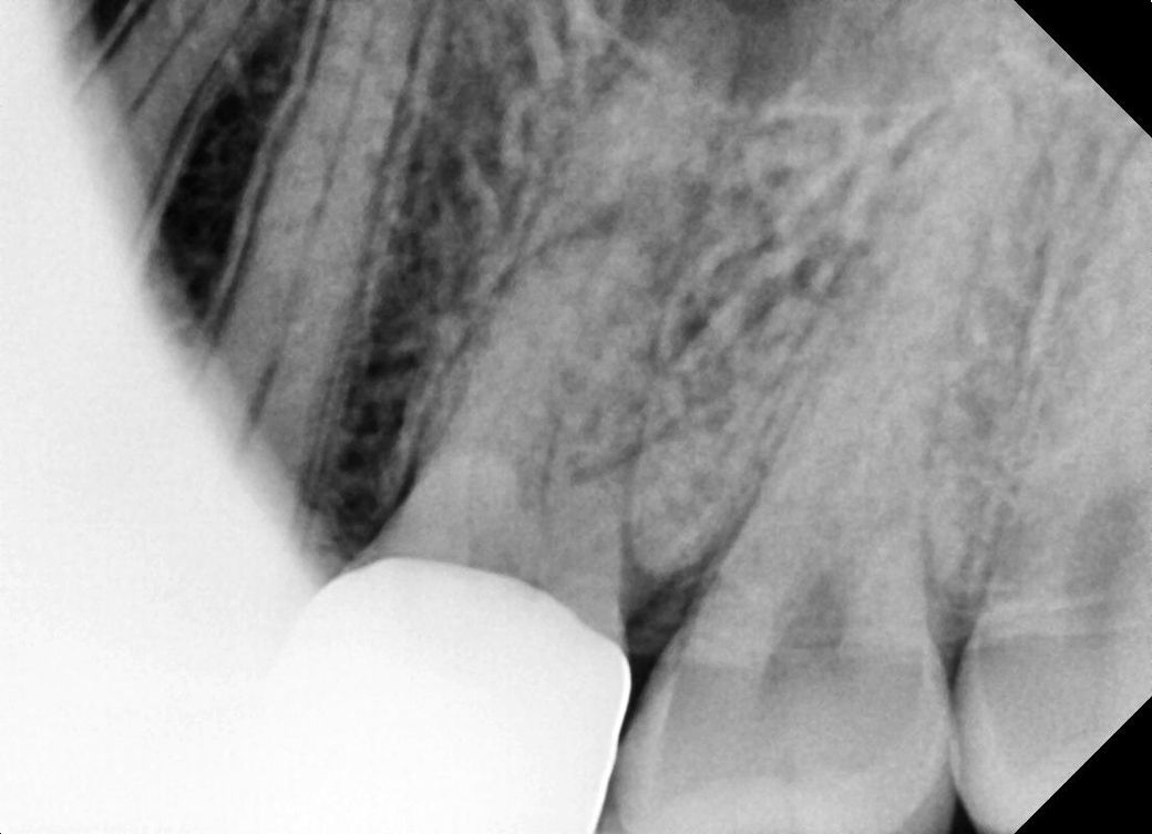
  • 3번 째 사진

2개의 답변이 있어요!

  • 김철진 치과의사

    김철진 치과의사

    가까운우리치과

    25.05.17

    안녕하세요. 김철진 치과의사입니다.

    저정도 염증이라면 신경치료만 잘하면 크게 문제는 되지 않을것같습니다. 일단 신경치료를 하시는게 좋을것같습니다.

  • 안녕하세요. 최석민 치과의사입니다.

    네 치근단 염증이 있는 상태가 엑스레이 상에서도 확인이 됩니다 크라운 뜯거나 구멍을 내고 신경치료 시도하면 됩니다