아하
  • 토픽

  • 스파링

  • 잉크

  • 미션


의료상담

은근히두근거리는사랑꾼

은근히두근거리는사랑꾼

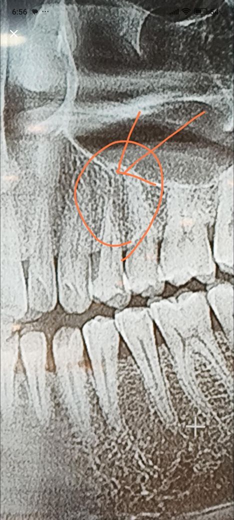
신경치료를 받았는데 게속아픕니다 사진보고 도와주세여

치아가아파 신경치료를 받고 밀봉했는데 게속아프고

두통에 이상감각이들어

재신경치료를 받았는데요 받고 난이후에도 게속 증상이

사라지지않고 감각이상이 게속되고 있어요

두통도오고 머리가 지근거리고

제생각에는 의사가 저화살표부분까지 신경을 제거 안해서

그런증상이 게속되고 있는거 같은데 저검은 실같은 음영부분 신경맞나요?

다른치과가서 더 긴 신경치료기구를 넣어서 치료해달라고 하면 괜찮아 질까요? 사진보시고 판단부탁드려요

사진은 신경치료받기전 사진이에요

  • 1번 째 사진

2개의 답변이 있어요!

  • 김철진 치과의사

    김철진 치과의사

    가까운우리치과

    안녕하세요. 김철진 치과의사입니다.

    사진상에 표시된 부분까지 치아 뿌리가 잇는거 같진 않습니다. 신경치료를 해도 불편하시다면 상악동 염때문에 그럴수도 잇으니 이비인후과도 한번 가보시는게 좋을것같습니다.

  • 안녕하세요. 최석민 치과의사입니다.

    1. 위 사진은 파노라마 엑스레이 편집본으로 개별 치아를 보기에 적절하지 않습니다

    2. 표시된 위치보단 뿌리가 짧을 것 같습니다

    3. 대학치과병원 보존과 가보세요