매복사랑니 발치해야할지 질문드립니다
안녕하세요, 이번에 사랑니를 뽑으려고 합니다.
전에 있던 치과에서는 매복사랑니는 증상 나타날 때 뽑으면 된다고 하셨습니다. 근데 지금 다니는 치과에서는 매복도 모두 발치해야 한다고 하셨어요. 그래서 어떤 판단이 옳은지 확인하고자 질문드립니다. 감사합니다.
안녕하세요. 안상우 치과의사입니다.
치아 가 완전히 매복이 되어 있고 문제를 발생시키지 않는다면 발치를 할 필요는 없습니다.
치아가 부분적으로 맹출되어 있거나 한다면 문제를 발생시킬수 있기때문에 발치를 하는것이 좋습니다.
1명 평가안녕하세요. 송준범 치과의사입니다.
사랑니 발치 시기에 대해서는 치과의사마다 다른데요.
질문자님과 같이 사랑니의 맹출 방향이나 정도로 보아 인접 치아에 충치, 염증 등을 야기할 가능성이 있다면 젊었을 때 예방적으로 발치하는 것을 권유드리기도 합니다.
나이가 들수록 뼈가 단단해지고 탄성이 줄어들기도 하고 사랑니 뿌리가 두꺼워져 점차 발치가 힘들어지기도 하고 회복도 느려지기 때문입니다.
만약 발치에 대한 거부감이 있고 지금 문제가 없으시다면 급하게 발치하실 필요는 없지만 해당 내용들은 인지하고 계시는 것이 좋겠습니다.
1명 평가안녕하세요. 최석민 치과의사입니다.
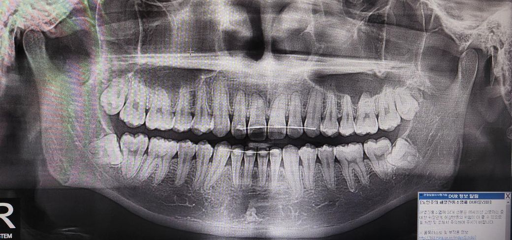
아래 매복 사랑니의 경우 신경관과 인접하고, 옆 어금니와 가깝게 붙어있어서 난이도 있는 발치입니다.
옆 어금니의 치아 뿌리를 흡수시킬 가능성도 있으나 발치 중에도 옆 어금니가 비의도적으로 손상될 수도 있습니다
이건 치과의사마다 판단이 다를 것 같습니다.
발치에 아주 자신 있다면 (이를테면 외과전문의) 발치 하자고 할 것이고, 그게 아니면 그냥 두고 증상생기면 빼자고 할 것 같네요
1명 평가안녕하세요. 송우식 치과의사입니다.
옆으로 누워있는 수평매복 사랑니입니다. 그냥두면 사랑니 바로앞 어금니 상하게 하니 가능한 빨리 뽑는 것이 좋습니다.
안녕하세요. 김지훈 치과의사입니다.
매복사랑니로 인해서 문제가 없는 상태에서는 굳이 뽑지 마시고 증상 나타날 때 뽑으면 됩니다.
안녕하세요. 김철진 치과의사입니다.
두군데다 틀린말은 아닙니다. 지금 불편하지 않으면 조금더 관리 하시다가 추후에 염증이 생기거나 불편하면 발치를 하셔도 크게 문제가 되지 않습니다.

