의료상담
55글자 더 채워주세요.
2개의 답변이 있어요!
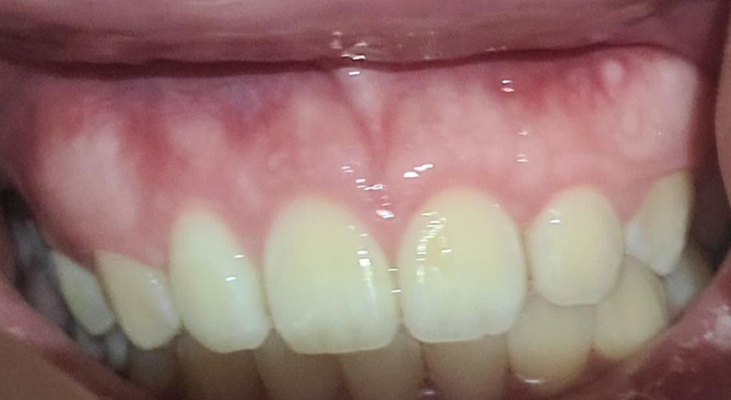
안녕하세요. 김철진 치과의사입니다.
사진에 보이는 부분은 크게 문제가 잇는건 안고 잇몸뼈가 튀어 나와 상대적으로 잇몸이 얇아서 생기는 현상입니다.
안녕하세요. 안상우 치과의사입니다.
해당 부위는 잇몸뼈가 밖으로 자라나와 있어서 하얗게 보이는 것으로 보입니다 크게 문제가 되진 않지만 자세한 확인을 위해서 치과에서 진료를 받아 보는 것이 좋습니다.


안녕하세요. 김철진 치과의사입니다.
사진에 보이는 부분은 크게 문제가 잇는건 안고 잇몸뼈가 튀어 나와 상대적으로 잇몸이 얇아서 생기는 현상입니다.
안녕하세요. 안상우 치과의사입니다.
해당 부위는 잇몸뼈가 밖으로 자라나와 있어서 하얗게 보이는 것으로 보입니다 크게 문제가 되진 않지만 자세한 확인을 위해서 치과에서 진료를 받아 보는 것이 좋습니다.