아핫뉴스실시간 인기검색어
아핫뉴스 화산 이미지
화산 아이콘 11
허찬미와 영지母 출전
많이 본
아하

의료상담

치과

항상격렬한강아지
항상격렬한강아지

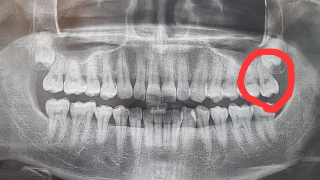
충치가 원래 X-ray 상으로는 잘 안보이나요? (x-ray, 치아 사진 첨부)

충치 치아는 왼쪽 위 맨끝 어금니 입니다.

사진을 보여주며 충치가 안쪽까지 깊을꺼로 보인다, 인레이 해야 될꺼 같다. 라고 해서 인레이로 진행을 한 상태입니다.

그런데 제가 충치가 얼마나 깊은지는 알 수 없냐? x-ray에 보이지는 않냐? 라고 여쭸는데 x-ray에서는 잘 안보이고 충치치료하며 파봐야 얼마나 깊은지 알 수 있다고 하더라고요.

그게 좀 의아해서요...보통 x-ray로 얼마나 깊은지 확인하는걸로 아는데...

치아사진으로는 좀 충치가 있어보이긴 하는데 저게 제 치아 사진인지도 의심이 되고 애먼 치아 인레이한게 아닌지 걱정되네요ㅠ

선생님들이 보기에는 충치가 있어 보이실까요?

그리고 x-ray상으로 충치가 안보이는게 흔한일 인가요?

  • 1번 째 사진
  • 2번 째 사진
  • 3번 째 사진
2개의 답변이 있어요!
  • 안녕하세요. 김철진 치과의사입니다.

    엑스레이 상으로 판단이 되는경우도 잇지만 판단이 안되는 경우도 잇습니다. 사진에 보이는 치아는 직접 충치를 제거해봐야 알수 잇을것같습니다.

    1명 평가
  • 안녕하세요. 최석민 치과의사입니다.

    1. 외견상 씹는면에 충치가 있어보이는 건 맞고, 엑스레이상 나타날 정도의 깊은 충치는 아닌 것으로 보이나 실제로 충치 제거하면서 파고 들어가다보면 예상외로 깊은 경우도 간혹 있습니다.

    2. 엑스레이 사진은 왜곡, 축소가 일어나는 경우가 많습니다. 찍는 각도에 따라서도 다 다다르게 보이고요.

    1명 평가