의료상담
치근손실 부작용, 교정기간, 치아중심선, 비대칭, 치과질문이요
1. 치근이 짧은 상태에서 앞니 부분교정이나 인비절 교정시에 치근이 더 짧아지거나 치아상실이 일어날수있나요?
2. 자연적을 세월이가면 치근이 짧아지기도 하나요??
3. 두번째앞니 교정시 인비절또는 부분교정시 평균적으로 기간이 얼마나걸리나요?
4. 치아 중심선이 윗니는 <- 방향 아랫니는 -> 방향으로 틀어진 턱 비대칭이 있는것 같아요 억지로 중심선 맞추면 치아교합부분이 이상해보여요 원래 이런가요? 인비절교정으로 교정가능한지?
5. 턱 비대칭 정상범위인지..?
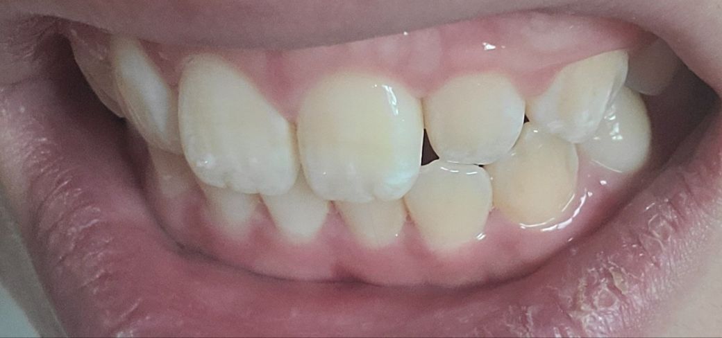
두번째 앞니사진
앞니치근사진
치아CT사진
정면CT사진1
정면CT사진2
정면사진
억지로 중심선 맞춘사진1
억지로 중심선 맞춘사진2
억지로 중심선 맞춘사진3
55글자 더 채워주세요.
1개의 답변이 있어요!
안녕하세요. 정진석 치과의사입니다.
1. 일어날 가능성이 있습니다.
2. 자연적으로 시간이 지나면서 치근단이 짧아지는 경우는 없습니다.
3. 상황에 따라 다르며 교정을 시작해봐야 알 수 있습니다.
4. 치아 문제라기보다는 골격적인 부분이 동반되어 있어 교정을 하더라도 개선이 어려울 수 있으며 완전한 교정을 위해서는 양악 수술을 해야할 수 있어 보입니다. 턱 자체가 비대칭입니다.
아무쪼록 저의 답변이 문제 해결에 작게 나마 도움이 될 수 있기를 기원드립니다. 항상 건강하고, 행복하세요^^
정진석 치과의사 드림

