강아지 담낭 한번 봐주시면 감사하겠습니다

반려동물 종류

강아지

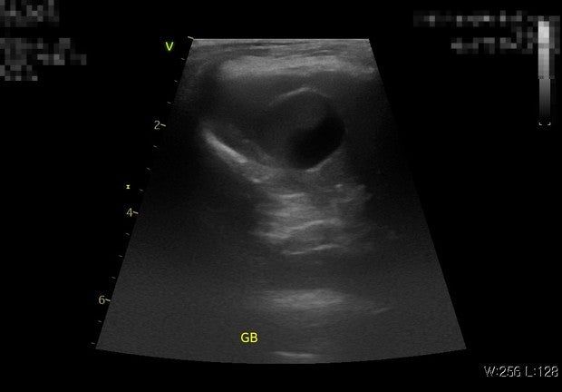
11살 푸들이고 슬러지는 6개월전에도 있었고 이 초음파 사진들은 찍은지 5일정도 안된것입니다

두 병원 모두 슬러지라 했고 우루사를 처방안해주는데 정원하면 그건 보호자 선택사항이라는데 어떻게 보시나요? 제가 해줄수있는게 대체 뭐가 있을까요? 병원에선 유산균 파이보만 먹이라고하고 어떤 처방약도 안줬는데 파이보와 유산균을 줘봐도 (국내유산균은 원래 주고 있었습니다 파이보를 여기에 추가함 유산균 문제라고 생각하실수도있는데 미국 수의대학에서도 쓰고 있고 논문에서도 쓰고 있는 유산균입니다 국내 유산균이나 미국 유산균이나 결과는 같았습니다 나아지지가 않음) 변을 부분적으로 겉에 표면만 회색변을 눈다던지 표면적으로 겉에만 흰노란색 같은 변을 자주 놓고 소화불량도(트름이라던지, 바닥을 이유없이 계속 햙는다던지, 혀를 낼름거린다던지 복명음 등) 변비도 있고 장내미생물 불균형에 간균이 현미경 변검사에서 많았고 cpl 은 정상입니다

1개의 답변이 있어요!

  • 안녕하세요. 이은수 수의사입니다.

    담낭 슬러지는 정상적으로도 보일 수 있는것들이라 치료의 대상으로 여기지 않습니다. 다만 슬러지가 공처럼 뭉치기 시작하는경우 담낭의 수축력 감소를 의심하여 수축력 개선을 위해 우루사 처방이 되기도 하지만 큰 의미를 두지 않습니다. 현재 증상이 다른 원인에 의한것일 가능성을 고려해야 하니 종합적인 전신 검사를 받아 보는게 추천됩니다.