의료상담

20년2월시작

20년2월시작

채택률 높음

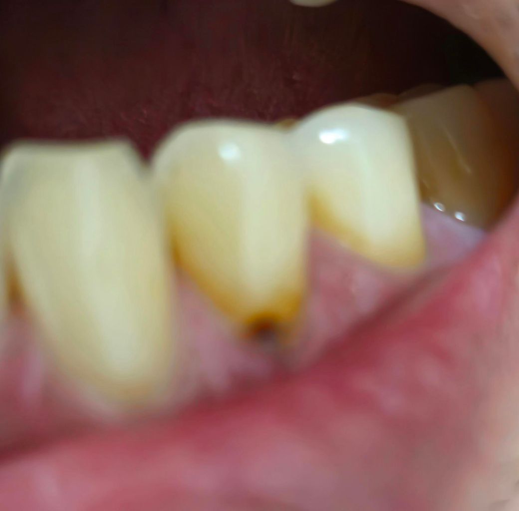
치아 이부분도 충치제거 후 레진이 되는게 맞나요?

치아가 박히는 부분 바로 위인거 같은데 기존 씹는면 제거하는것처럼 저 부분만 레진으로 해도 버텨지나요?

옛날 한 15년전에 그냥 잇몸 드러나서 시술이라 할것도 없고 그냥 위에 덮기만 한건데 떨어져가지고 보니 저렇게 충치가..

사진 첨부합니다

  • 1번 째 사진

2개의 답변이 있어요!

  • 안녕하세요. 전택근 치과의사입니다.

    치경부 우식증도 레진으로 치료 가능하나 자주 탈락하거나 관리가 잘 안될 가능성도 높습니다. 우선은 우식 있는 것은 확실해 보이니 얼른 치료 받으시기를 바랍니다. 경우에 따라서는 다른 재료 사용하기도할 수 있습니다.

    감사합니다.

    *본 답변은 환자분의 말씀에 의거한 답변으로 다니시는 치과의원 또는 근처 치과 등 내원하셔서 정밀검진을 요합니다.

    채택 보상으로 243베리 받았어요.

    채택된 답변
  • 안녕하세요. 최석민 치과의사입니다.

    네 가능합니다만 현재 상태를 봐선 치은연하(잇몸하방) 충치가 있는 것으로 보입니다. 이런 경우 잇몸도 일부 제거해야 할 수 있습니다.