아하
  • 토픽

  • 스파링

  • 잉크

  • 미션


의료상담

탈퇴한 사용자

탈퇴한 사용자

어금니 치료방법 알수잇을까요.,,?

치료방법이알고싶습니다. 염증소견잇다고들엇고

흔들리기는하지만 아프지도 식사하는데문제가없습니다

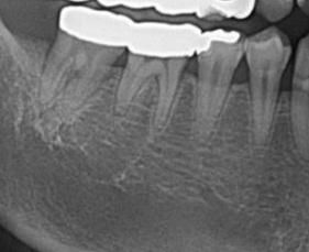
엑스레이입니다

Ct입니다

  • 1번 째 사진
  • 2번 째 사진

4개의 답변이 있어요!

  • 김지훈 치과의사

    김지훈 치과의사

    메가

    안녕하세요. 김지훈 치과의사입니다.

    치아가 흔들리는 정도라면 잇몸치료를 바로 시작하시는 것이 좋겠고 발치도 염두해둬야 합니다.

  • 안녕하세요. 김철진 치과의사입니다.

    일단은 전체적으로 스켈링을 하고나서 잇몸치료를 받아보시고 계속해서 불편하면 신경치료를 하셔야될것같습니다.

  • 안녕하세요. 안상우 치과의사입니다.

    사진으로 봤을 경우에는 크게 문제가 있어 보이진 않습니다. 하지만 해당치에 불편감이 있으면 뿌리에 금이 갔거나 했을 가능성이 높습니다.

    단순히 치아가 과도하게 물려서 생기는 불편감이라면 높이를 조정하면 괜찮아집니다. 하지만 치아뿌리의 금이 같거나 했다면 치아를 발치해야 하는 경우도 생길 수 있습니다.

    자세한 확인을 위해서 치과에서 진료를 받아보는 것을 권유드립니다.

  • 안녕하세요. 최석민 치과의사입니다.

    염증잡기 위해서 신경치료를 해볼순 있습니다 다만 신경치료가 원래 무조건 성공하는 걸지는 장담할 수 없습니다