아하
  • 토픽

  • 스파링

  • 잉크

  • 미션


의료상담

겁나자연친화적인부르주아

겁나자연친화적인부르주아

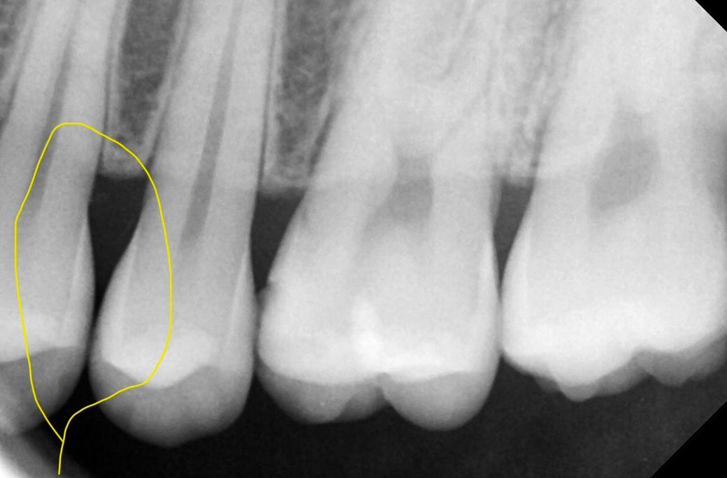
인접면 충치 봐주세요 임상 치근단 교익 있어요

치과에서 육안으로 치아색이 다르다고

치과 4군데를 돌아 치근단을 찍어보고

인접면 충치를 잘 잡는다는 교익 촬영까지 했습니다

깨끗하니 괜찮다 이상이 없고 6개월 검진만 받자

라고 하셨어요

인지 하기 전까지는 아무런 증상이 없었는데

인지 하고 나서는 가끔 무슨 느낌이 나는것 같기도 하고... 그냥 지켜봐도 괜찮을까요?

  • 1번 째 사진
  • 2번 째 사진
  • 3번 째 사진
  • 4번 째 사진

2개의 답변이 있어요!

  • 정진석 치과의사

    정진석 치과의사

    대학병원 통합치의학전문의

    안녕하세요. 정진석 치과의사입니다.

    교익방사선 촬영을 통해서 해당 부위의 미세한 충치가 있기는 합니다. 하지만 이 부위를 치료하기 위해서는 더 큰 치질을 손상시켜야 하므로 치간칫솔이나 치실을 사용하면서 해당 부분을 관찰하는 것이 좋을 수 있습니다. 지금의 충치 정도로는 큰 불편감이 나타날 가능성은 적습니다. 아마 심리적인 요인일 가능성이 커 보입니다.

  • 안녕하세요. 최석민 치과의사입니다.

    1. 사진 좌우 반전되거나 수정한게 아니라면 임상사진은 15,14번이고, 방사선 사진은 24,25 입니다

    2. 14,15는 명백히 충치 있어보입니다