아하
  • 토픽

  • 스파링

  • 잉크

  • 미션


무조건어린셰퍼드

무조건어린셰퍼드

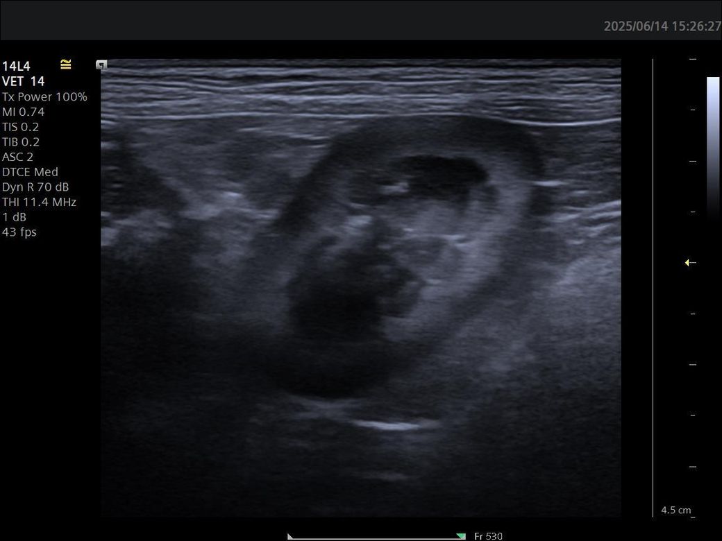
강아지 신장 사진입니다.이상한부분있을까요

반려동물 종류

강아지

품종

비숑

성별

수컷

나이 (개월)

4년10

몸무게 (kg)

5

중성화 수술

1회

4살 8개월 비숑인데 신장혈액상으로 정상인데 사진으로 어떤분이 궁상동맥 석회양상이보인다고하는데 궁상동맥 석회양상이라는게 석회화로진행되지는 않고 그전단계라는건가요?그거 없앨려면어떻게해야하나요

1개의 답변이 있어요!

  • 이은수 수의사

    이은수 수의사

    프리랜서

    안녕하세요. 이은수 수의사입니다.

    없어지지 않습니다. 일반적으로 정상적인 노령성 변화로 궁상동맥 벽에 칼슘과 같은 무기질이 침착된 양상을 의미합니다. 큰 의미를 두지 않는 변화입니다.