아하
  • 토픽

  • 스파링

  • 잉크

  • 미션


의료상담

다시봐도친절한매화

다시봐도친절한매화

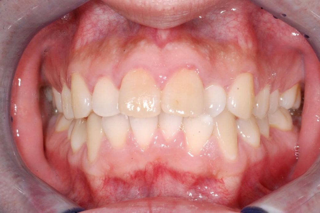
앞니 신경죽음으로 인한 크라운 치료 .

교정 마무리 단계가 되어 충치 치료중 위쪽 앞니 2개가 신경이 죽어 치아색이 누런걸 확인하였습니다.

정확히는 교정 전부터 신경이 죽어있었습니다.

충치 치과의사선생님이 충치처럼 꼭 해야할 필요는 없지만 신경이 죽어 다른 방법으로는 미백효과를 낼 수 없고 크라운을 해보는걸 생각해보라고 합니다.

나이가 아직 33살이고 단순 미용 목적으로만 크라운을 하기에는 치아를 깎는 것이 걱정됩니다.

전문가분들의 의견은 어떠신가요?

관련 사진 첨부합니다.

  • 1번 째 사진
  • 2번 째 사진

2개의 답변이 있어요!

  • 김철진 치과의사

    김철진 치과의사

    가까운우리치과

    안녕하세요. 김철진 치과의사입니다.

    실활치 미백을 해보시고 그래도 안되면 그후에 보철적으로 치료를 하시는게 좋을것같습니다.

  • 안녕하세요. 최석민 치과의사입니다.

    실활치의 경우 단순 표면 미백 치료로는 반응이 크지 않을거고요. 신경치료 후 실활치 미백을 하거나 아니면 크라운을 씌우는 방법밖에 없습니다.