아하
  • 토픽

  • 스파링

  • 잉크

  • 미션


의료상담

후련한개미핥기259

후련한개미핥기259

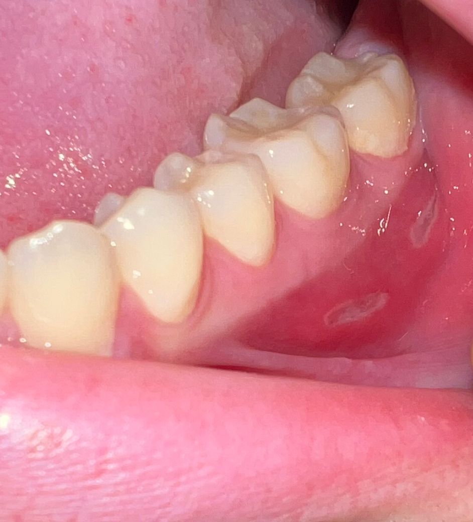
잇몸에 외상 없이 상처가 생겼고, 부종과 통증이 있습니다

외상이 없었는데 며칠 전부터 잇몸이 붓고 통증이 있었습니다.

물이나 음식물, 칫솔이 닿으면 따갑기도 합니다.

자세히 보니 사진과 같이 하얗게 된 부분이 있는데, 해당 부분이 약간 패여있는 듯한 느낌입니다. 내원이 필요한가요?

현재 코로나 양성 판정을 받은 상태입니다.

  • 1번 째 사진

3개의 답변이 있어요!

  • 김철진 치과의사

    김철진 치과의사

    가까운우리치과

    안녕하세요. 김철진 치과의사입니다.

    구내염이 오신거 같습니다. 최대한 그쪽으로 자극이 가지 않도록 해주시고, 치과에 가셔서 소독을 한번 받으시는게 좋을것같습니다.

  • 안녕하세요. 송우식 치과의사입니다.

    흔히 말하는 혓바늘 즉 구내염이 잇몸에 생긴 것 입니다. 구내염은 그냥 두면 저절로 없어집니다. 굳이 치과에 갈 필요는 없습니다. 구내염 있는 부위 건드리지 말고 그냥 두어야 합니다. 구내염은 전신적 스트레스, 피곤할 때 잘 생깁니다.

  • 안녕하세요. 김지훈 치과의사입니다.

    단순 구내염으로 보입니다. 구내염 약을 구매하셔서 발라주시면 금방 나을 것으로 보입니다.