의료상담
사랑니 혈병이 탈락했는데 병원 가야할까요?
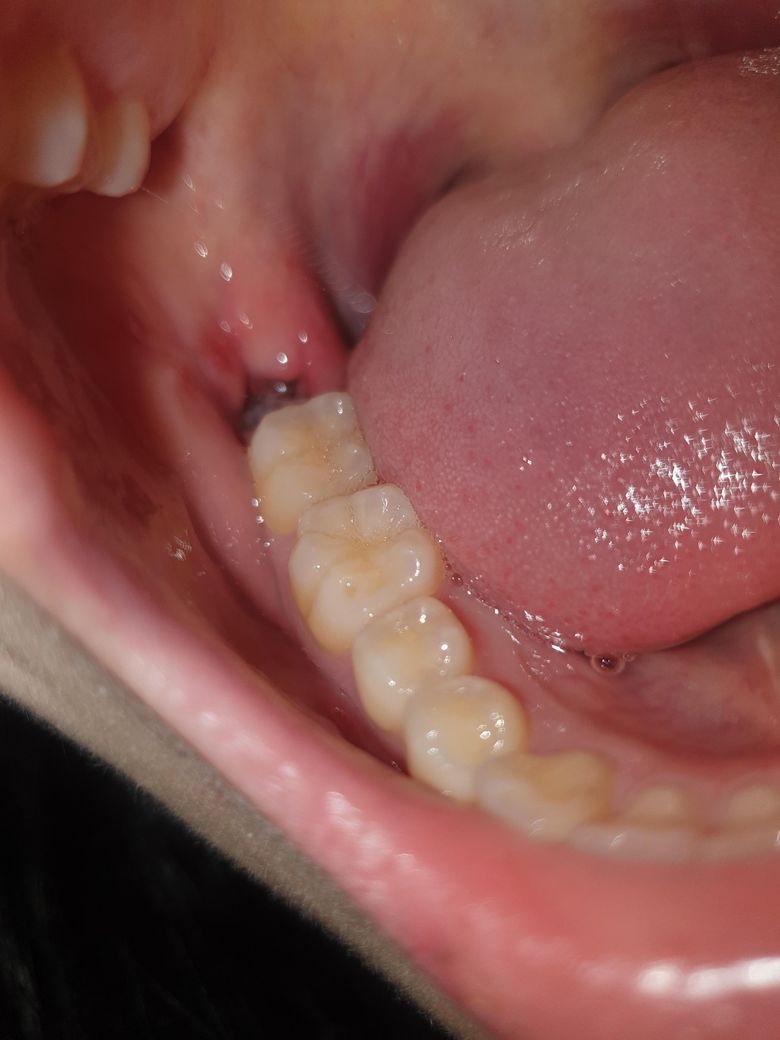
사랑니 발치 후 4일째입니다. 잇몸 절개 없이 발치했습니다. 혈병이 탈락했는데 어제부터 잇몸이 좀 붓고 막 엄청 아프다기보다는 욱씬대고 압력이 좀 느껴집니다. 병원가야할까요? 양치는 해도 되나요?
55글자 더 채워주세요.
3개의 답변이 있어요!
안녕하세요. 장인아 치과위생사입니다.
발치후 1주일 정도는 통증이 있을수 있고 시간이 지나면 호전됩니다..발치후 3일후 부터는 자극이 가지 않도록 주의해서 양치질 해야 합니다.
도움이 되기를 바랍니다. 건강하세요.
안녕하세요. 김철진 치과의사입니다.
사진상으로 크게 문제가 있어 보이진 않습니다. 발치하신지 얼마 안되셔서 욱신거릴수 잇으니 일단 치과에 가셔서 소독을 한번 받아보시면될것같습니다.
안녕하세요. 김지훈 치과의사입니다.
흐리지만 사진으로 봤을때 크게 이상은 없어보입니다. 통증이 더 심해진다면 치과를 내원해보시면 되겠습니다.

