끝까지친근한햄스터
- 반려동물 건강반려동물Q. 강아지 유선종양 질문 한 개만 더 할게요..계속 올라온 어제 유선종양 수술했다는 토이푸들 견주입니다. 종양이 여러개인데 한 개만 조직검사를 해도 괜찮은 건가요..? 병원 원장님께서 조직검사는 한 개만 의뢰하신 거 같은데 종양이 여러개인데 한개만 의뢰로도 양성 악성을 판단해도 되는건지 궁금합미다.. 대체로 병원들 대부분이 가장 안 좋은 종양 한 개를 보낸다는데 맞나요..?
- 반려동물 건강반려동물Q. 강아지 유선종양 오돌토돌하면 악성일까요?강아지가 어제 유선종양 수술을 했는데 두 부위 만져졌고 전적출이랑 중성화까지 했습니다. 만져진지는 몇개월 됐는데 크기는 거의 그대로였고 종양 크기는 만져지는 두 곳 다 백원 동전보다 작았습니다. 근데 한 부위는 되게 그냥 동그란모양이였다면 한 부위는 오돌토돌하게 만져졌습니다 원장님 말대로는 여러개가 다닥다각 붙어있단 식으로 얘기하셨는데 이러면 악성일 확률이 높을까요..? 조직검사 받기 전까진 모르는 거죠..?
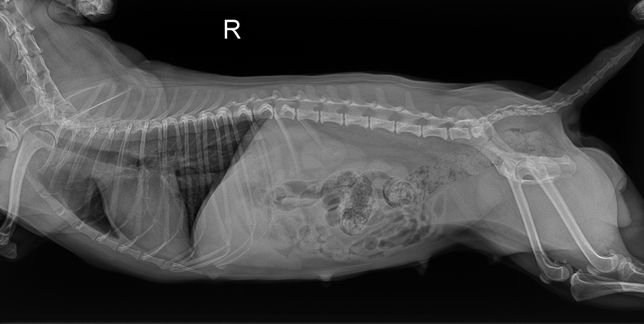
- 반려동물 건강반려동물Q. 강아지 엑스레이 사진 좀 봐주실 수 있는 분8살 암컷 강아지이고 어제 유선종양이랑 중성화 수술했는데 수술 전에 찍은 엑스레이에서 궁금한 점이 생겨 물어봅니다 혹시 엑스레이 상에서 제가 빨간색으로 동그라미 친 부분이 뭔 지 알 수 있을까요? 정확하게능 아니더라도 가늠이라던지 한번만 봐주세요..
- 반려동물 건강반려동물Q. 강아지 엑스레이 사진 좀 봐주세요ㅠㅠ강아지 엑스레이 찍었는데 빨간색 동그라미 친게 종양일까요? 유선종양 수술했는데 저 액스레이에 하얀게 뭔지 설명을 못 들었네요 아시는 분 계신가요?