살짝쿵잠이많은오동나무
- 생활꿀팁생활Q. 듀이트리 아쿠아 딥 EX 마스크팩이랑 성분 비슷한 제품 아시나요…듀이트리 아쿠아 딥 EX 마스크팩 단종됐는데 성분 비슷한 팩 아시나요ㅠㅠㅠ 제발요ㅠㅠㅠㅠㅠㅠㅠㅠㅠㅠㅠㅠㅠㅠㅠㅠㅠㅠㅠㅠㅠ
- 대출경제Q. 마이너스통장 만기 전 해지하면 불이익안녕하세요, 급하게 돈이 필요해서 한도 300만원으로 마이너스 통장 개설했다가 다 갚은 상태입니다. 만기까지는 아직 몇개월 남았는데 마통을 만들고 사용하지 않으면 신용점수가 낮아진다고 본거같아서요, 근데 또 해지하려니 해지에 불이익도 있다고 하여 고민됩니다. 만기 전 해지해도 신용점수 하락 및 불이익이 없을까요? 나중에 마통 또 만들게될 일이 있을 때 못만들수도 있다고 본거같아서요ㅠㅠ 그래도 사용하지 않는 마이너스 통장은 해지하는게 나을까요..?
- 반려동물 건강반려동물Q. 강아지가 뛰어놀다가 딱딱한거에 눈쪽을 부딪혔어요ㅠ제가 사진 첨부한 마사지기를 하고있었는데 표시한 딱딱한 부분에 강아지가 흥분해서 뛰어가다가 눈쪽을 부딪혔습니다 ㅠ 강아지도 놀라고 아팠는지 깨갱하고 그 뒤에 상태는 괜찮은데 눈을 보니까 약간 흰자에 핏줄이 터졌는지 빨갛게되어있고 눈꺼풀쪽에 상처가 나서 피가 조금 나다가 멈춘상태입니다 ㅠㅠ 근데 애가 깨갱거리기도했고 눈쪽을 부딪힌거라 걱정이네요 ㅠ그냥 둬도 아물고 괜찮아질까요? 아니면 병원에가서 연고랑 안약받아서 치료하는게 나을까요? 위에 사진은 노란 표시한게 부딪힌거고 아래는 눈사진입니ㄷㅏㅠㅠ
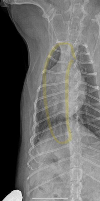
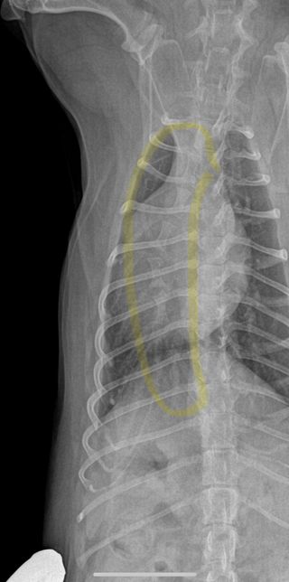
- 반려동물 건강반려동물Q. (이은수 수의사님) 하나만 더 여쭤보고싶습니다ㅠ 강아지 엑스레이 관련안녕하세요 강아지 건강검진 받고 엑스레이상 흉골이 휘었다고 했었는데요, 외부충격은 없고, 1년 전 다른 병원에서 찍은 엑스레이는 흉골 휘지 않았습니다. 사진상으로 휘어보이는거라고 하셨는데 잘못찍혔다는 말씀이실까요? 건강검진 병원에서는 1년전 다른 병원에서 찍은 엑스레이는 흉골이 휘지 않아서 폐쪽 문제일수도 있으니 ct가능한 병원가서 정확하게 보는게 좋을거같다는데, 폐에 문제가 생기면 심장이 쏠리면서 흉골이 휠수도있나요..? 엑스레이는 흉골이 휜거같아 이상해서 세번정도 찍었다고 하네요. 사진 보면 노란색 표시 흉골이 휘어있고 심장도 쏠려있습니다…잘못찍었다고 흉골이 휘고 심장도 쏠릴 수 있나요?!?첫번째 사진이 1년전 다른병원에서 찍은 엑스레이고 2,3번째가 이번에 찍은 흉골 휜 엑스레이입니다.. 3,4번째 흉골 휜 엑스레이 같은 사진인데 휜 흉골부분 노란색으로 표시해뒀습니다. R, L사진 둘 다 다른방향에서 찍은거같은데, 둘 다 휘어있습니다. 폐쪽의 문제일수도 있을까요? 기침이나 식욕감퇴 등의 다른 증상은 없고 변 상태도 좋습니다.
- + 1
- 반려동물 건강반려동물Q. 강아지 엑스레이 잘못찍으면 흉골 휘어보이게 나오는건가요안녕하세요 강아지 건강검진 받고 엑스레이상 흉골이 휘었다고 했었는데요, 외부충격은 없고, 1년 전 다른 병원에서 찍은 엑스레이는 흉골 휘지 않았습니다. 사진상으로 휘어보이는거라고 하셨는데 잘못찍혔다는 말씀이실까요? 건강검진 병원에서는 1년전 다른 병원에서 찍은 엑스레이는 흉골이 휘지 않아서 폐쪽 문제일수도 있으니 ct가능한 병원가서 정확하게 보는게 좋을거같다는데, 폐에 문제가 생기면 심장이 쏠리면서 흉골이 휠수도있나요..? 엑스레이는 흉골이 휜거같아 이상해서 세번정도 찍었다고 하네요. 사진 보면 노란색 표시 흉골이 휘어있고 심장도 쏠려있습니다…잘못찍었다고 흉골이 휘고 심장도 쏠릴 수 있나요?!?첫번째 사진이 1년전 다른병원에서 찍은 엑스레이고 2,3번째가 이번에 찍은 흉골 휜 엑스레이입니다.. 3,4번째 흉골 휜 엑스레이 같은 사진인데 휜 흉골부분 노란색으로 표시해뒀습니다. R, L사진 둘 다 다른방향에서 찍은거같은데, 둘 다 휘어있습니다. 폐쪽의 문제일수도 있을까요? 기침이나 식욕감퇴 등의 다른 증상은 없고 변 상태도 좋습니다.
- + 1
- 반려동물 건강반려동물Q. 강아지 엑스레이 흉골이 휘었다는데오안녕하세요 강아지 건강검진 받고 엑스레이상 흉골이 휘었다고 했었는데요, 외부충격은 없고, 1년 전 다른 병원에서 찍은 엑스레이는 흉골 휘지 않았습니다. 사진상으로 휘어보이는거라고 하셨는데 잘못찍혔다는 말씀이실까요? 건강검진 병원에서는 1년전 다른 병원에서 찍은 엑스레이는 흉골이 휘지 않아서 폐쪽 문제일수도 있으니 ct가능한 병원가서 정확하게 보는게 좋을거같다는데, 폐에 문제가 생기면 심장이 쏠리면서 흉골이 휠수도있나요..? 엑스레이는 흉골이 휜거같아 이상해서 세번정도 찍었다고 하네요. 사진 보면 노란색 표시 흉골이 휘어있고 심장도 쏠려있습니다…잘못찍었다고 흉골이 휘고 심장도 쏠릴 수 있나요?!? 첫번째 사진이 1년전 다른병원에서 찍은 엑스레이고 2,3번째가 이번에 찍은 흉골 휜 엑스레이입니다.. 3,4번째 흉골 휜 엑스레이 같은 사진인데 휜 흉골부분 노란색으로 표시해뒀습니다. R, L사진 둘 다 다른방향에서 찍은거같은데, 둘 다 휘어있습니다. 폐쪽의 문제일수도 있을까요? 기침이나 식욕감퇴 등의 다른 증상은 없고 변 상태도 좋습니다.
- + 1
- 반려동물 건강반려동물Q. 강아지 엑스레이 흉골 휘었다는데요.이은수 수의사님. 강아지 흉골 관련해서 답주셨는데 이 사진처럼 흉골이 휘게나왔는데 이게 촬영상이 돌아가면서 휘어보인다는 말씀이실까요? 촬영상이 돌아가면서 휘어보인다는 내용이 이해가 안가서요. 옆부분 엑스레이상 오목가슴은 아닙니다.ㅠㅠ
- 반려동물 건강반려동물Q. 강아지 엑스레이 흉골 휘었다는데요 ..안녕하세요 강아지 건강검진을했는데 흉골이 휘었다고해서요. 첫번째사진은 1년전이고 2,3번째 사진은 이번년도 사진입니다. 혹시 이런경우 원인은 무엇인가요? 외부충격은 없었습니다..
- 반려동물 건강반려동물Q. 강아지 엑스레이 흉골이 휘어보이는 이유안녕하세요, 강아지 건강검진을 받았는데 엑스레이상 흉골이 휘어보인다해서요, 외부충격은 없었고 기침이나 등 다른 증상은 없습니다. 일년전 다른 병원에서 건강검진 때 엑스레이에선 휘어보이지않는데 엑스레이를 잘못찍으면 흉골이 휘어보일수있나요? 아니면 다른쪽에 문제가 있을 수 있는건가요.. 첨부한 사진은 실제 사진이 아니고 빨갛게 그린게 저희 강아지 엑스레이상 휘게 나온걸 보여드리고 싶어서 첨부했습니다. 정면 엑스레이에서 흉골이 사진 빨간 부분처럼 좀 휘게 나왔습니다.
- 반려동물 건강반려동물Q. 강아지 엑스레에 찍을 때 자세 이상하면 흉골이 휘어보이게 나올수도 있나요? 강아지 엑스레에 찍을 때 자세 이상하면 흉골이 휘어보이게 나올수도 있나요? 건강검진 했는데 흉골이 휘었대서요.. 작년 다른 병원에서 검진했을 때는 괜찮았는데 외부충격도 없었는데 1년만에 휘을수가있나요.?.. 외부 충격 아니면 폐쪽 문제일수도있다는데 외부충격은 없었고, 기침이나 다른 증상도 없어서요. 혹시 엑스레이 찍을 때 자세가 잘못되면 흉골이 휘게 나오기도 하나요