강아지 엑스레이 흉골 휘었다는데요.

반려동물 종류

강아지

품종

비숑

성별

수컷

나이 (개월)

8

몸무게 (kg)

7

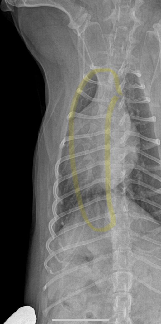
이은수 수의사님. 강아지 흉골 관련해서 답주셨는데 이 사진처럼 흉골이 휘게나왔는데 이게 촬영상이 돌아가면서 휘어보인다는 말씀이실까요? 촬영상이 돌아가면서 휘어보인다는 내용이 이해가 안가서요. 옆부분 엑스레이상 오목가슴은 아닙니다.ㅠㅠ

1개의 답변이 있어요!

  • 안녕하세요. 이은수 수의사입니다.

    위 사진에서 흉골이 아니라 척추뼈를 보면 척추의 수직인 극돌기가 사진의 오른쪽으로 치우쳐 보이는 상태입니다. 즉, 환자가 촬영을 할때 사진의 왼쪽으로 돌아가서 촬영되었다는 말이지요.

    아래 사진에서 흉골은 척추뼈와 일정 각도를 가지고 벌여져 있기에 촬영상에서 자세가 돌아가게 되면 마치 휘어 있는것처럼 영상이 나오게 됩니다. 이건 공간지각적으로 당연한 결과이나, 상당히 경력이 있는 수의사들도 간혹 이해하지 못하는 부분이니 보호자분이 이해가 가지 않는것은 어떤 의미에서 당연한것입니다.

    결론은 정상입니다.