홈
토픽
스파링
잉크
미션
전문가 신청
베리몰
나도 질문하기
의료상담
착실한날다람쥐70
성별
남성
나이대
25
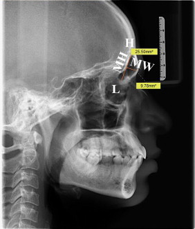
전두동 이라는 곳을 세로로 찍은 사진인데요. 이렇게 세로로 찍더라도 전두동의 모든 부분이 나오는 것인가요? 아니면 일부는 잘려서 나오는 것인가요?
사진 보기
1개의 답변이 있어요!
배병제 의사
국제성모병원
∙
안녕하세요. 아하(Aha) 의료분야 답변자 외과 전문의 배병제입니다.
해당 엑스레이는 모든 부비동이 다 포함되는 사진입니다. 다만 겹쳐지는 부분에 대한 평가를 해야하므로 부비동의 평가가 필요하다면 보토 단독으로 촬영하지는 않는 사진이 되겠습니다.
저의 답변이 도움이 되셨길 바랍니다.
평가
응원하기