의료상담
돌출입 질문, 잇몸이 볼록나오고 흰색이 섞여있는 이유가 뭔가요?
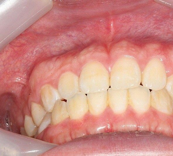
질문1.치아사진보면 잇몸이 볼록 나와있고 잇몸색도 흰색 분홍색 빨간색 섞여있는데 뼈 때문에 볼록한 모양이고 흰색이 섞여있는 건가요?
질문2.돌출입은 볼록한모양이 일반적인가요?
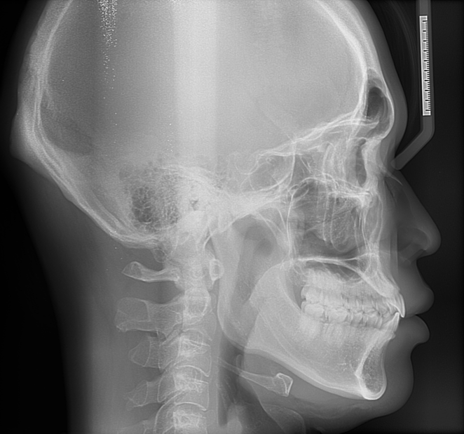
치아 돌출입 일까요? 골격돌출입인가요?
질문3.만약 개선하고자 한다면 교정만으로는 힘들어보이나요? 교정안하는게 더 나아보이나요?
55글자 더 채워주세요.
1개의 답변이 있어요!
안녕하세요. 안상우 치과의사/경제·금융전문가입니다.
사진으로 보이는 잇몸은 부착치은이라는 조직으로 잇몸뼈에 단단하게 부착되어 있습니다.
따라서 부착되어 있는 잇몸뼈의 형태가 더 잘 보이게 되는데 치조골이 밖으로 자가 나오거나 한다면 그부위가 상대적으로 흰색으로 보일수 있어요.
정상적인 형태로 보이나 정확한 확인을 위해서 치과에서 진료를 받아 보세요.

