아하
  • 토픽

  • 스파링

  • 잉크

  • 미션


의료상담

대단히힘찬꿀벌

대단히힘찬꿀벌

치아교정 잇몸돌출인가요?? 잇몸돌출교정을 해야될까요?

옆에서보면 입이 원숭이처럼 튀어 나와보이고 치아도 살짝 튀어나와있어 돌출입처럼 보입니다. 무턱증상도 약간 있고요. 제생각엔 잇몸 돌출때문에 더더욱 그런거같은데 잇몸 돌출이 되있는게 맞을까요??

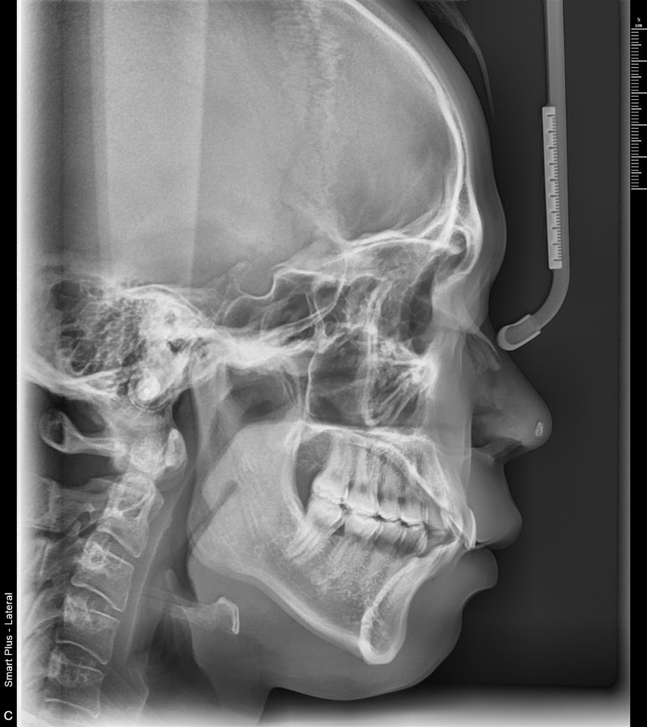
  • 1번 째 사진

4개의 답변이 있어요!

  • 김지훈 치과의사

    김지훈 치과의사

    메가

    안녕하세요. 김지훈 치과의사입니다.

    위 사진만으로는 판별하기는 어렵습니다. 잇몸 뼈가 튀어나온 것 외에도 치아의 각도 등도 영향을 줍니다.

  • 안녕하세요. 송우식 치과의사입니다.

    x-ray 사진으로 보아 골격상으로는 전방돌출이 확인 안됩니다. 얼굴 외모로 보아 입술이 나와 보이거나, 웃을 때 윗입술이 위로 많이 올라가 잇몸이 많이 노출되는 경우도 있습니다.

  • 안녕하세요. 김철진 치과의사입니다.

    교정분석을 해봐야 정확히 알겟지만, 골격적으로 문제가 잇을 가능성이 잇어 보입니다. 일단 교정 진단을 받아보세요.

  • 안녕하세요. 최석민 치과의사입니다.

    위 사진상 봤을때 양악전돌 양상은 심하지 않으나 연조직 문제로 무턱, 돌출형 얼굴이 형성된 것 같습니다. 교정과나 구강악안면외과 치과에 가셔서 보다 자세한 상담을 받아보시기 바랍니다. 무턱교정의 경우 일반교정이 아니라 수술이 필요할 수도 있습니다.