깊은 기둥을 박은 신경치료 뿌리염증 재신경치료 / 치근단절제술 어떤게 맞는 선택일까요?
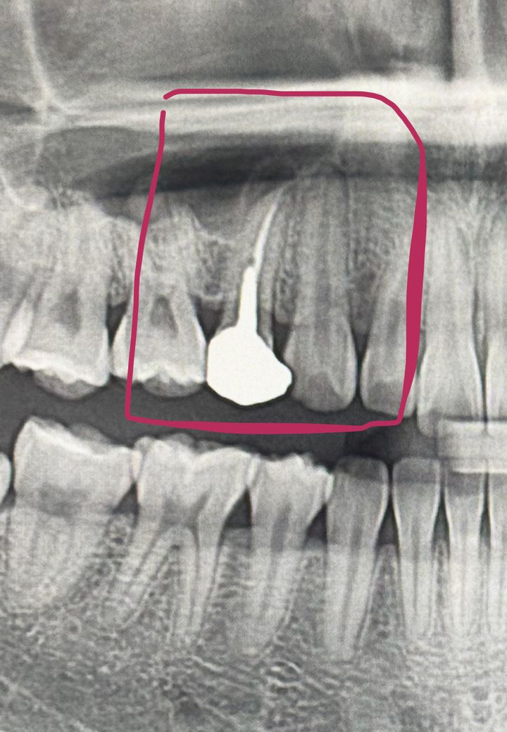
깊은 기둥을 박은 5년전 신경치료 치아에 뿌리 염증이 생겨 치료가 필요해보이는데,
깊은 기둥을 박고 치아가 얇아서 재신경치료가 어려울 수도 있지만 정 치아를 살리고 싶으면 치근단 절제술이라도 해야 한다고 말을 들었는데...
어떤게 맞는 선택일까요?
나이가 아직 20대라 발치 후 임플란트는 최대한 하고 싶지 않습니다...
- 기둥을 빼고 재신경치료를 할 수 있는 정도일까요?
- 치근단절제술(대학병원) 에서 하는건 어떤 장단점이 있을까요?
안녕하세요. 송준범 치과의사입니다.
우선 증상이 없으시다면 굳이 지금당장 치료받는 것을 권장드리지 않습니다.
간혹 치료 후에도 저렇게 뼈가 아니라 다른 조직으로 차오르면서 방사선 사진상으로 마치 염증이 있는 것 처럼 보일 수 있기 때문입니다.
개인적으로는 통증이나 불편감이 없으시다면 6개월 내지 1년 주기로 검진을 받으면서 어떻게 변화하는지 알아보는 것이 좋다고 생각합니다.
물론 통증이나 불편감이 있으시다면 염증이 있을 가능성이 높기 때문에 치료를 들어가는게 좋은데요.
아무래도 해당 치아의 뿌리 끝 부근이 상악동이라고 하는 공기 주머니에 너무 인접해서 치근단절제술 보다는 재신경치료를 하시는 편이 좋아보이지만 post(말씀해주신 기둥)도 있고 치아도 얇기 때문에 혹시 재신경치료를 위해서 post와 크라운을 제거하는 과정에서 치아가 부러질수도 있기 때문에 해당 내용은 충분히 알고 계시는게 좋겠습니다.
우선 너무 걱정하지 마시고 통증이나 불편감이 있으신 경우에 치과보존과 전문의 선생님이 계시는 곳에 내원 하시어 진단을 받아보시는 것을 추천 드립니다.
(질문에 대한 답변으로. 1) 사진상으로는 치아 파절 가능성이 있긴 하지만 재신경치료 가능해보입니다. 2) 아무래도 대학병원에서는 충분한 장비도 구비해두고 일반 의원 보다는 더 많이 어려운 진료를 보는 경우가 다수 있기 때문에 조금 더 신뢰할 수 있지만 예약이 조금 밀릴 수 있다 라고 생각하시면 됩니다.)
1명 평가안녕하세요. 김지훈 치과의사입니다.
재신경치료를 시도해볼 수는 있겠으나 치근단절제술이나 재신경치료 모두 대학병원에서 진행하심이 좋아보입니다.
안녕하세요. 안상우 치과의사입니다.
치근단 절제술을 해도 근관의 감염원인이 제거되지 않으면 재발될수 있습니다.
우선 포스트를 제거하고 재근관치료를 하는것이 우선입니다.
기둥을 세운 치아의 경우 치근단칠환이 생겼다는것은 치근에 금이 갔을 가능성이 있습니다.
치아의 뿌리에 금이 갔다면 치아를 발치해야 할수도 있습니다.
자세한 확인을 위해서 치과병원에서 진료를 받아 보세요.
안녕하세요. 최석민 치과의사입니다.
재신경치료 힘든 컨디션입니다. 추천드리지 않습니다.
발치 원치 않으신다면 치근단 절제술이 더 나은 선택지로 보입니다
대학병원의 경우 협진이 가능하고, 현미경 등 고가의 장비가 있어서 좀 더 세밀하고 천천히 치료 가능합니다.
안녕하세요. 김철진 치과의사입니다.
뿌리끝에 염증이 잇다고 무조건 치료를 하는건 아닙니다. 증상이 없다면 그냥 지내셔도 크게 문제가 되지 않습니다. 하지만 염증이 생기거나 증상이 잇다면 신경치료도 잘되어 잇으니 치근단 절제술을 해보시는게 좋을것같습니다.

