아하
  • 토픽

  • 스파링

  • 잉크

  • 미션


의료상담

크리스마스25

크리스마스25

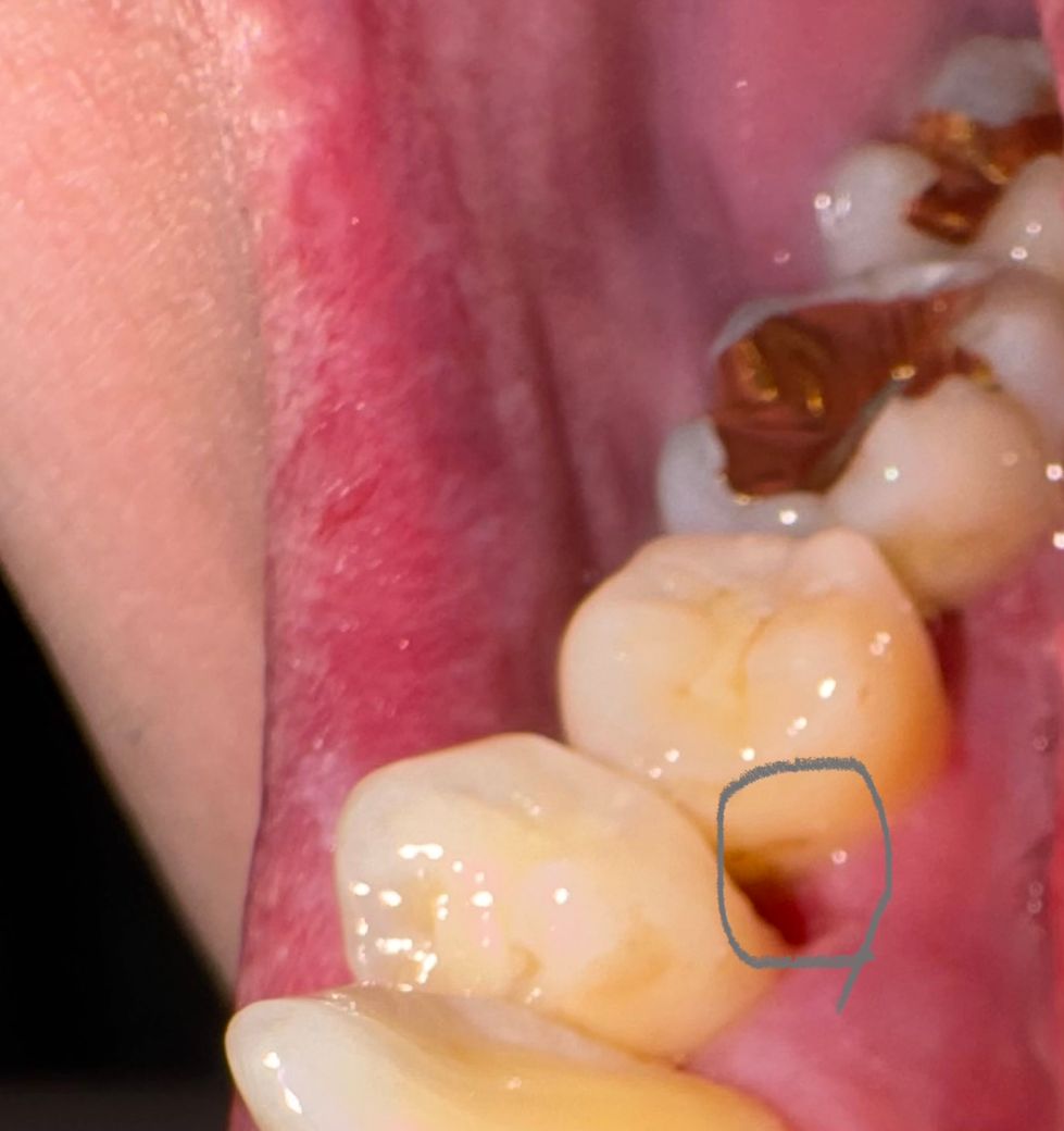
잇몸치료를 하고 왔는데요 잇몸 파인부분 재생기간이 궁금해요

화욜날 잇몸이 살짝 불편해서 치과 방문후 엑스레이

촬영후 선생님이 잇몸에 약간의 염증소견이 있다고

잇몸치료를 해주셨는데요 사진 속 부분이 기존에

조금 파여있엇는데 잇몸치료후에 조금 더 범위가

넓어졌는데 치료한 부분

잇몸재생은

기간이 얼마나 걸리나요?

3일치 항생제는 다 먹었습니다.

아래치아 안쪽사진입니다.

  • 1번 째 사진

3개의 답변이 있어요!

  • 장인아 치과위생사

    장인아 치과위생사

    미소인치과

    안녕하세요. 장인아 치과위생사입니다.

    잇몸치료후 잇몸이 회복되는 기간은 1~3주 정도 입니다. 빠른 쾌유 바라겠습니다. 건강하세요.

  • 안녕하세요. 한성미 치과위생사입니다.

    잇몸이 아무는데는 대략 7~10일정도 걸립니다. 하지만 잇몸 염증제거 후 부기가 가라앉고나면 잇몸이 아물어도 원래의 높이만큼 차지는 않습니다. 앞으로는 잇몸에 염증이 생기지 않도록 구강위생에 신경써주시고, 주기적으로 스케일링을 받으시면 좋겠습니다.

  • 안녕하세요. 최석민 치과의사입니다.

    염증이 없는 상태라면 차차 회복됩니다 잇몸이 회복되는데 걸리는 시간은 1~2주 정도라고 보시면 됩니다