아하
  • 토픽

  • 스파링

  • 잉크

  • 미션


의료상담

아직도정확한너구리

아직도정확한너구리

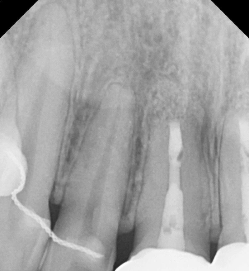
앞니 치근단절제술 해도 통증이 느껴집니다

안녕하세요

계속 질문드려 죄송합니다..

우선 치근단절제술은 2년전에 다 끝낸 상태입니다..

크라운은 4년전에 브릿지로 씌웠고 요즘들어 크라운에서 냄새나고 잇몸이 검게 변했습니다

문제는 제가 엊그제 음주를 하면서 앞니 통증으로 치과를 갔다왔고 뿌리염증없는거 확인도 하고 아이스검사,타진 까지 했는데 괜찮았습니다

오늘도 주기적으로 한번씩 욱신거리며 양치할때 칫솔로 꼼꼼히 닦으면 또 욱신합니다 지속적인 통증은 아니고 몇번 욱신거리다 통증은 사라집니다

치수염이라면 누울때 통증이 심하다고 했는데

오늘 하루종일 누워있어도 딱히 통증은 없었습니다

제가 궁금한건 치근단절제술을 한 치아인데도

그 치아가 욱신거리고 그 주변치아도 같이 욱신거립니다 치근단절제술 한 치아가 문제인건지 다른 정상치아가 문제인건지 통증이 생길땐 어떤치아가 아픈지 헷갈릴정도입니다..

오른쪽 대문앞니 (치근단수술한치아) , 그 옆 작은앞니, 그 옆 송곳니 까지 같이 욱신거리는데

치근단절제술 한 치아는 통증이 없어야 맞는건데 욱신거리는 통증이 느껴지는거면 문제있는걸까요?

잇몸이 문제라면 치근단절제술을 해도 통증이 느껴지나요? 주변치아가 아프니까 .. 어떤치아가 문제인지 도저히 모르겠습니다 ㅠㅠ

  • 1번 째 사진

2개의 답변이 있어요!

  • 김철진 치과의사

    김철진 치과의사

    가까운우리치과

    안녕하세요. 김철진 치과의사입니다.

    주변치아에 문제가 잇을수도 있으니 일단 치과에 가셔서 감별진단을 받아보시는게 좋을것같습니다.

  • 안녕하세요. 최석민 치과의사입니다.

    치아보다는 잇몸 문제 같습니다 잇몸검사, 스케일링, 잇몸치료(큐렛) 받아보시고 경과 지켜보시기 바랍니다