아하
  • 토픽

  • 스파링

  • 잉크

  • 미션


의료상담

경건한원앙36

경건한원앙36

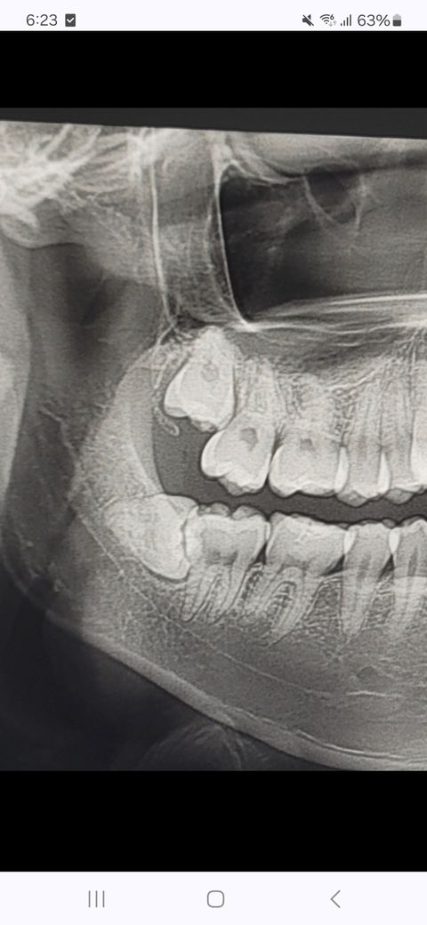
매복 사랑니 발치가 어려운가요? 사진O

안녕하세요 아랫쪽 사랑니가 몇년간 괜찮다가 요새 쿡쿡 쑤셔서 발치를 하려고 하는데 신경에 가까워서 대학병원에서 발치하는걸 추천하시더라구요

많이 까다로운지, 위에 사랑니는 겉으로 드러나지 않았는데 발치하는게 좋은지 궁금합니다

  • 1번 째 사진

6개의 답변이 있어요!

  • 김지훈 치과의사

    김지훈 치과의사

    메가

    안녕하세요. 김지훈 치과의사입니다.

    사랑니의 위치가 신경과 가까운 편이기 때문에 대학병원에서 발치를 하시는 것이 좋겠습니다.

  • 안녕하세요. 정진석 치과의사입니다.

    사진 상으로 보아서도 신경과 가까울 가능성이 커 보입니다. 따라서 안전하게 발치하기 위해서는 대학병원도 권할 수 있고 구강악안면외과 전문의 선생님이 있는 병원에서 발치가 가능할 수도 있겠습니다. 물론 제일 안전한 것은 대학병원입니다.

    아무쪼록 저의 답변이 문제 해결에 작게 나마 도움이 될 수 있기를 기원드립니다. 항상 건강하고, 행복하세요^^

  • 사랑니가 기울어져 나 있지만 뿌리가 모아져 있기 때문에 나오는데 크게 불편감은 없을 것으로 생각됩니다 사랑해를 뽑을 때는 사랑니를 잘라서 뽑게 되는데 상대적으로 어려운 술식이기 때문에 숙련된 전문가에게 발전하는 것이 좋을 수 있습니다

  • 안녕하세요 치과의사 김철진입니다. 상악은 크게 난이도가 잇어 보이진 않지만, 하악 발치는 신경관과 가까워서 난이도가 잇습니다.

  • 아래쪽 매복 사랑니의 경우 앞의 어금니와 근접하게 맞닿아 있어 발치 난이도가 높은 치아입니다. 방치시에는 앞의 어금니 뿌리까지 손상시켜 나중에는 두개의 치아 모두 발치가 필요로 됩니다. 따라서 가능한 빠른 시일내에 발치를 권하며, 매복 사랑니 경험이 풍부한 구강외과 전문의에게 치료를 받길 권합니다.

    궁금증 해소에 도움이 되시길 바라며, 도움이 되신 경우 '👍 ' 눌러주길 부탁드립니다.

  • 위,아래 둘다 어느정도 난이도가 있습니다 위의 경우 상악동 천공에 유의해야하고 아래는 신경손상유의해야 합니다 꼭 대학병원까진 가지 않더라도 ct가 있는 치과를 가는것을 추천합니다