아하
  • 토픽

  • 스파링

  • 잉크

  • 미션


의료상담

가장보고싶은토스트

가장보고싶은토스트

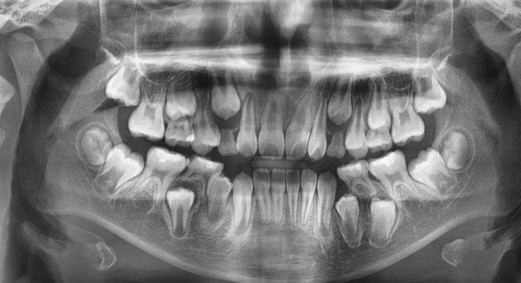
치아 올라올 공간이 부족해요~~ㅠㅠㅠ

아이 치아 올라올 공간이 부족하여

옆으로 나온 상태에요

나이는 10세 이구요~

어금니 영구치 빠지고 턱 자라면서

바뀔수도 있을까요??

  • 1번 째 사진
  • 2번 째 사진

5개의 답변이 있어요!

  • 안상우 치과의사

    안상우 치과의사

    목동안치과의원

    안녕하세요. 안상우 치과의사입니다.

    사진으로 봤을 경우에는 유구치가 조기 상실되면서 공간이 부족하여 맹출경로가 어긋난것으로 보입니다.

    성장기때 초기 교정을 해준다면 해당증상을 줄일 수 있습니다.

  • 안녕하세요. 김지훈 치과의사입니다.

    현재 상태로서는 예측을 하기는 어렵지만 추후 교정치료를 해야할 가능성이 높아보이기는 합니다.

  • 안녕하세요. 김철진 치과의사입니다.

    영구치가 올라 오는 방향이 약간 틀어져서 나오는거 같습니다. 일단 치과에 가셔서 교정장치를 한번 상담받아보세요.

  • 안녕하세요. 송우식 치과의사입니다.

    빨리 유치 빼주면 밑에서 올라오는 영구치가 제자리 찾을 가능성 높습니다. 유치 빼는 시기가 늦어 영구치가 옆으로 나옵니다.

  • 안녕하세요. 최석민 치과의사입니다.

    아래턱은 아직 성장량이 조금 남아있습니다 유치 어금니가 빠지고 공간은 생깁니다만 충분하진 않을 수도 있습니다