아하
  • 토픽

  • 스파링

  • 잉크

  • 미션


의료상담

여전히자랑스러운유자나무

여전히자랑스러운유자나무

25.05.16

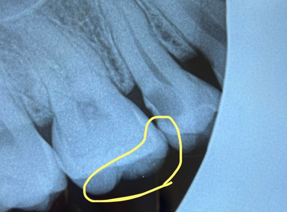
신경치료, 인레이 꼭 해야하나요? (엑스레이 유)

이쪽 치아는 딱봐도 까맣긴한데

많이 썩은건가요?

이쪽이 단거 찬거 먹을 때 시리고

저녁에 자발통도 심했어요

>> 이런경우 꼭 신경치료 + 크라운이 답인가요?

다른 방법은 없죠?ㅠ

그리고 그 옆 안쪽 어금니 2번째 부분은

신경치료 진행하면서 같이보고

썩어있으면 인레이 해야한다더라구요

>> 저 부분은 꼭 인레이를 해야하는지,

일반 레진은 비추천인지 궁급합니다

  • 1번 째 사진
  • 2번 째 사진

3개의 답변이 있어요!

  • 정진석 치과의사

    정진석 치과의사

    대학병원 통합치의학전문의

    25.05.17

    안녕하세요. 정진석 치과의사입니다.

    보여주신 사진 상에서 앞쪽은 이미 신경이 노출되어 신경치료를 진행해야 하며 신경치료 이후에는 남아 있는 치아를 보호하기 위해 크라운을 씌워야 합니다. 또한 충치 부위가 크므로 반드시 크라운을 하셔야 할 것으로 보입니다. 뒤쪽 치아는 앞쪽 치아의 사이가 충치가 생긴 것이므로 해당 부분을 확인하고 충치가 있다면 인레이를 할 필요가 있어 보입니다.

    아무쪼록 저의 답변이 문제 해결에 작게 나마 도움이 될 수 있기를 기원드립니다. 항상 건강하고, 행복하세요^^

  • 안녕하세요. 김철진 치과의사입니다.

    첫번째 사진의 치아는 충치가 많이 진행되서 신경치료를 하셔야될꺼 같고, 옆치아의 경우 옆면 충치가 넓거나 깊으면 인레이 간단하면 레진으로 하기도 합니다.

  • 안녕하세요. 최석민 치과의사입니다.

    자발통이 이미 있는 경우라면 비가역적 치수염의 상태이고 이런경우 신경치료는 불가피합니다