아하
  • 토픽

  • 스파링

  • 잉크

  • 미션


의료상담

늘따스한산토끼

늘따스한산토끼

25.11.12

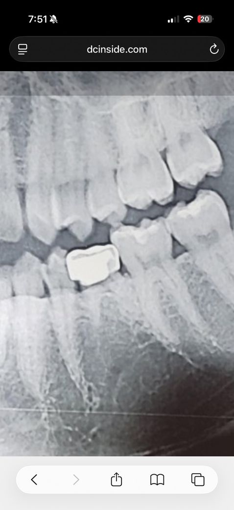
크라운씌운곳에서 입냄새가 너무나요

2년전부터 입냄새가 심해졌다고 주변에서 말해줘서 알게됐어요. 10개월전에 크라운을 씌었는데 크라운쪽에 손을대고 냄새를 맡아보니 진짜 냄새가 심해요. 치과에서는 임플란트를 얘기하는데 임플란트해야될까요?

  • 1번 째 사진

4개의 답변이 있어요!

  • 김지훈 치과의사

    김지훈 치과의사

    메가

    25.11.14

    안녕하세요. 김지훈 치과의사입니다.

    크라운 하방으로 충치가 진행되어 있어보이며 선천적으로 영구치가 결손되어 있는 것 같습니다.

  • 안녕하세요. 김철진 치과의사입니다.

    사진상에 보이는건 유치인거 같습니다. 불편하시면 발치후 임플란트를 하시는게 좋을것같습니다.

  • 안녕하세요. 안상우 치과의사입니다.

    사진으로 보이는 치아는 유치를 사용하는것으로 보입니다. 상부 크라운 내부로 충치가 생겨 이물질이 들어가고 부패가 되면 냄새가 나게 됩니다.

    유치의 경우 뿌리가 짧기 때문에 충치등으로 인해서 유지가 되지 않는다면 발치를 하고 임플란트를 하는것이 좋을수 있습니다.

  • 안녕하세요. 최석민 치과의사입니다.

    첨부된 사진이 크라운 씌운거라면 그 치아는 유치입니다

    영구치는 결손치인 상태이므로 유치를 쓸때까지 쓰고 나중에 뺀뒤 임플란트를 심거나 아니면 브릿지를 할수밖에 없는데요

    크라운 씌운 내부에 이차우식이 있어 냄새가 나는 것 같습니다