의료상담

교정중인데 치과 가서 8군데 치료하자고 하고 하나는 신경치료까지 해야될수도 있다는데 많이ㅇ심각한 건가요...?



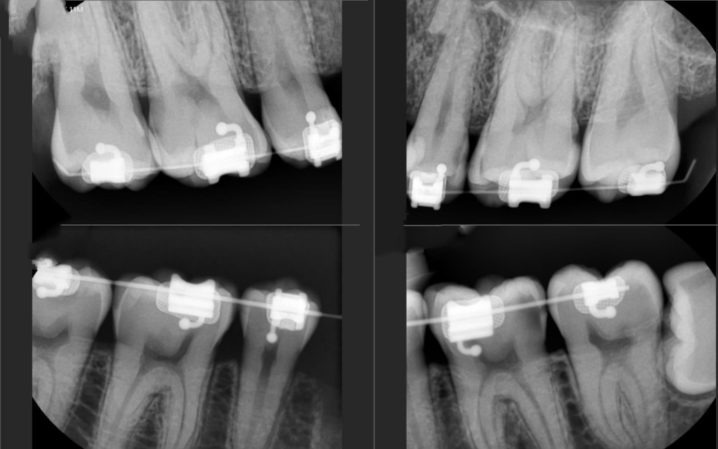
36번 치아가 제일 심각하다는데...............,


신경치료만큼은 피하고 싶어요............

  • 1번 째 사진
  • 2번 째 사진

2개의 답변이 있어요!

  • 안녕하세요. 김철진 치과의사입니다.

    치아 사이가 전체적으로 많이 썩어 잇네요. 왼쪽 아래 뒤에서 두번쨰 #36번 치아는 충치가 많이 진행된거 같습니다. 신경치료 가능성이 높아보이긴 하네요.

  • 안녕하세요. 김지훈 치과의사입니다.

    들으신대로 다른 치아는 크게 문제는 아니지만 36번 치아의 경우에는 신경치료 가능성이 높습니다.