의료상담
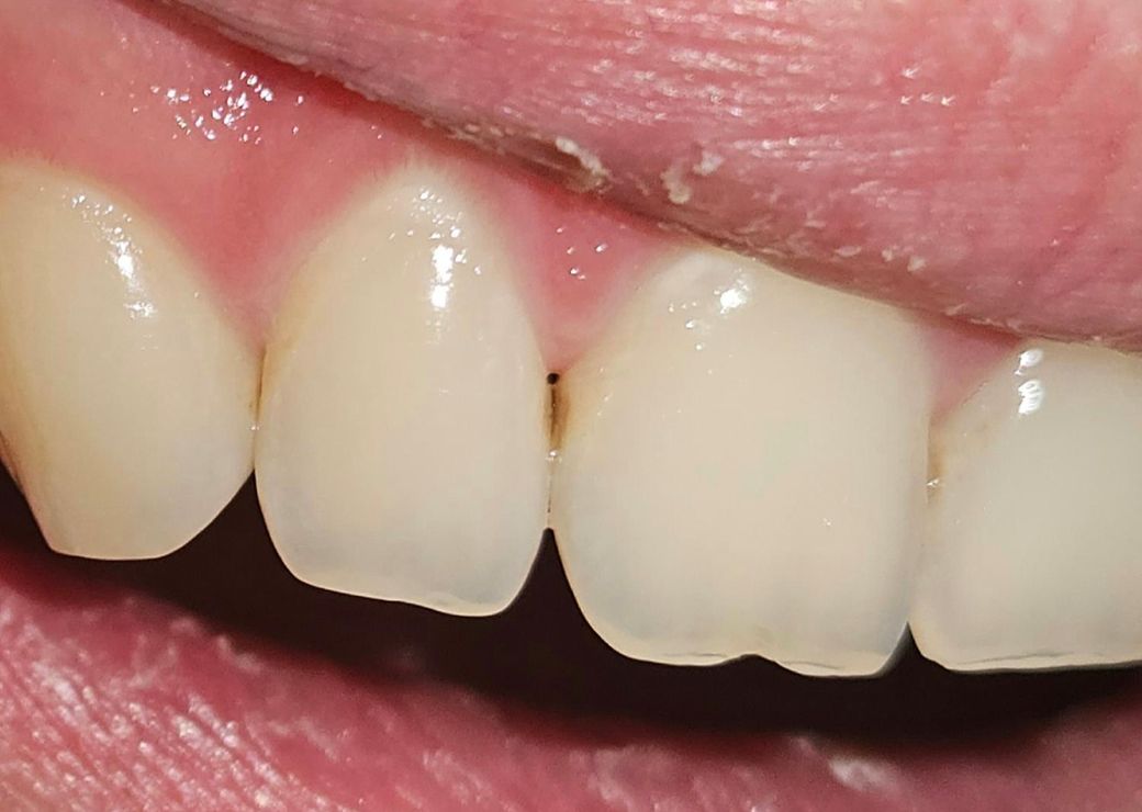
앞니사이에 충치인가요 변색인가요?
오늘 거울보다 발견했습니다...
평소 담배 많이피고 커피 자주 마시는데 착색일까요 충치일까요...?
보니까 윗 앞니쪽은 진한 정도만 다르고 다 있는 거 같습니다..
55글자 더 채워주세요.
4개의 답변이 있어요!
안녕하세요. 김철진 치과의사입니다.
사진상으로 보면 충치는 아닌거 같고 착색인거 같으니 치과에 가셔서 스켈링을 받으시면될것같습니다.
안녕하세요. 안상우 치과의사입니다.
사진으로 봤을 경우에는 착색일 수도 있지만 충치 가능성도 있어 보입니다. 착색이라면 간단하게 제거할 수 있으며 충치라고 한다면 충치치료가 필요할 수 있으니 자세한 확인을 위해서 치과에서 진료를 받아보는 것을 권유드립니다.
안녕하세요. 송준범 치과의사입니다.
색으로만 봤을때는 정지우식 + 착색 으로 보입니다. 방사선사진을 찍어봐야 정확하게 알 수 있겠지만 저 사진만으로는 충치가 멈춰있는 것으로 보입니다.
안녕하세요. 최석민 치과의사입니다.
충치는 아니고 변색, 착색일 것 같습니다. 확인차 치과가셔서 엑스레이 찍어보는것도 좋고, 스케일링 한번 받으세요.

