의료상담
레진 치료 후 아직 치아가 시립니다..(엑스레이 O)
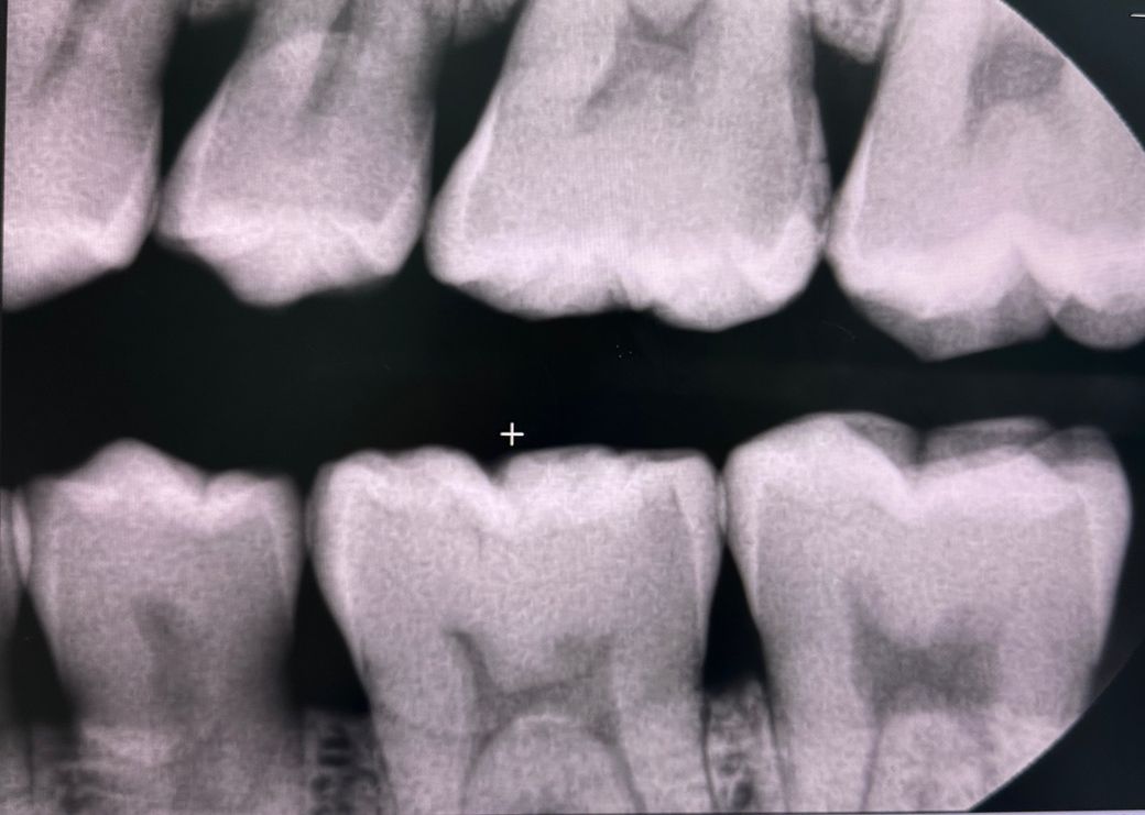
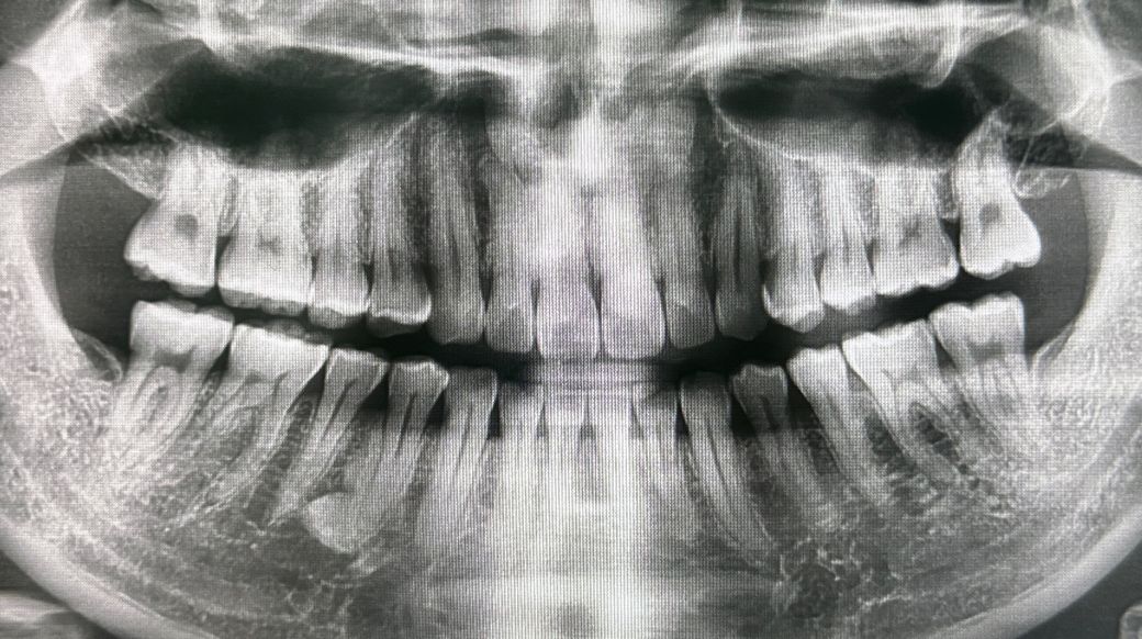
약 2주전 찬바람, 찬물이 닿으면 시려서 치과를 방문하였고 엑스레이 2번 찍었는데 첫번째는 전체적인 엑스레이, 두번째 사진은 왼쪽 치아만 찍은 엑스레이입니다.
엑스레이 결과 염증은 없고, 왼쪽 위 뒤에서 첫번째, 두번째 치아 충치가 의심되지만 애매해서 정기검진때 확인해보자하여 알겠다하였으며, 후에 치경부 마모증으로 인한 시림이라고 레진을 받았습니다.
레진 후 일부는 양호해졌는데 찬물, 김치 등 차가운 음식을 먹을 때와 스읍하여 들숨을 할 때 이 사이인지 어딘지 모르겠으나 양쪽 어금니가 시립니다
충치도 아니고 염증도 아니면 도대체 뭐가 문제일까요.. 제발 시림에서 탈출시켜 주세요 미치겠습니다..
55글자 더 채워주세요.
1개의 답변이 있어요!
안녕하세요. 김철진 치과의사입니다.
사진이 보이질 않습니다. 치아를 치료를 하셧어도 시리다면 치아가 많이 예민해져서 그럴수도 잇을 가능성이 높습니다. 일단 시간이 지나면서 괜찮아 질수도 잇으니 지켜보시고 그래도 계속 시리시면 신경치료를 해야될수도 잇습니다.

