의료상담
시린이 관련 치아 엑스레이 사진 좀 봐주시면 감사하겠습니다.
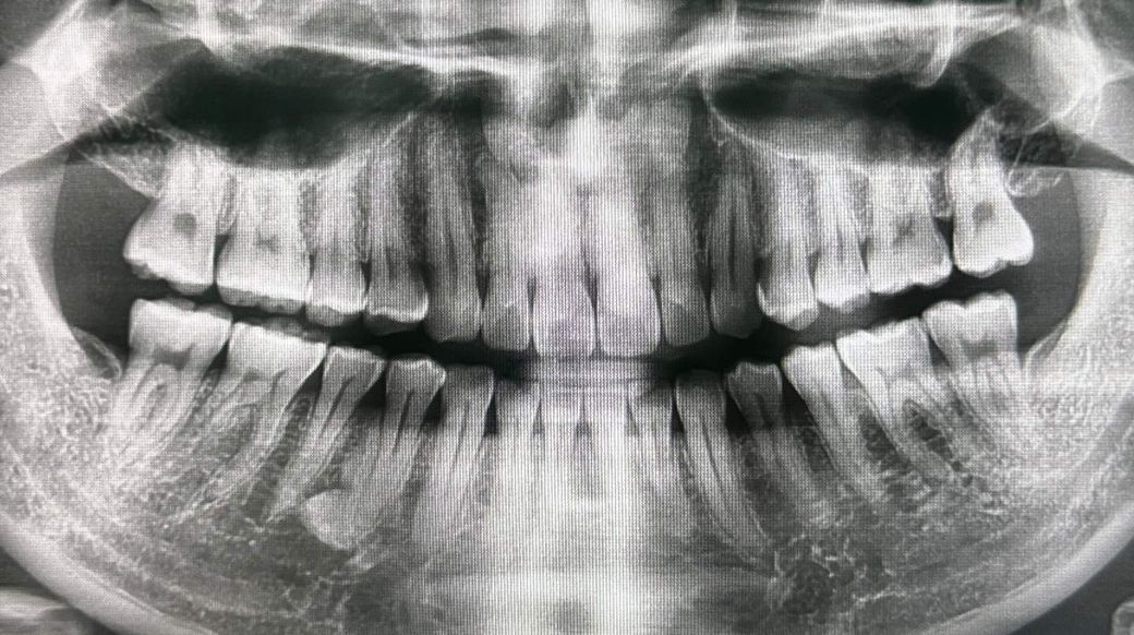
약 2주전 찬바람, 찬물이 닿으면 시려서 치과를 방문하였고 엑스레이 2번 찍었는데 첫번째는 전체적인 엑스레이, 두번째 사진은 왼쪽 치아만 찍은 엑스레이입니다.
엑스레이 결과 염증은 없고, 왼쪽 위 뒤에서 첫번째, 두번째 치아 충치가 의심되지만 애매해서 정기검진때 확인해보자하여 알겠다하였으며, 후에 치경부 마모증으로 인한 시림이라고 레진을 받았습니다.
레진 후 일부는 양호해졌는데 찬물, 김치 등 차가운 음식을 먹을 때와 스읍하여 들숨을 할 때 이 사이인지 어딘지 모르겠으나 양쪽 어금니가 시립니다
충치도 아니고 염증도 아니면 도대체 뭐가 문제일까요.. 제발 시림에서 탈출시켜 주세요 미치겠습니다..
55글자 더 채워주세요.
1개의 답변이 있어요!
안녕하세요. 김철진 치과의사입니다.
치경부 마모증으로 치아가 시려서 치료를 한경우에도 계속시리다면 치아가 예민해져서 그럴수도 잇습니다. 사진상에서는 크게 문제가 없어 보이지만 신경이 예민한경우 신경치료를 해야되는경우도 잇습니다.

