의료상담

고막 상태 정상인가요 아님 이상한가요

성별

여성

나이대

20대

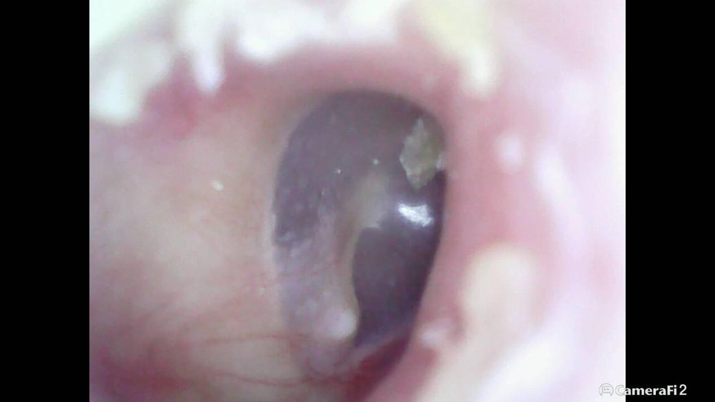
귀가좀 먹먹한거같아서 내시경으로 봤는뎆 고막에 흰색 무늬 점(?)같은게여러개 있는데 이거 정상적인건가요? 아님 무슨 문제가생긴건가요

  • 1번 째 사진

1개의 답변이 있어요!

  • 괜찮고요. 고막을 의사가 볼때는 cone of light, 망치뼈, 삼출물과 천공 등 여부를 위주로 봅니다. 말씀해주신 부분은 큰 의미없구요.

    사진 해상도가 제한적이지만 보이는 범위에서는 고막 전체 형태가 유지되어 있고, 천공이나 심한 발적, 팽륜 같은 급성 이상 소견은 뚜렷하지 않습니다. 말씀하신 흰색 점처럼 보이는 부분은 고막의 정상적인 반사(빛 반사), 각질 또는 건조한 분비물이 붙어 보이는 경우가 흔하며, 단순 중이염에서 보이는 고름이나 심한 혼탁과는 양상이 다릅니다.

    다만 “먹먹함” 증상이 있다는 점은 별도로 해석해야 합니다. 이는 고막 자체 문제보다 이관 기능 저하(코막힘, 감기, 비염 등으로 중이 압력 조절이 안 되는 상태)에서 더 흔합니다. 이 경우 고막은 겉보기엔 정상에 가까워도 내부 압력 변화로 불편감이 생깁니다.

    현재 단계에서는 급성 위험 소견은 낮아 보이며, 코막힘 관리, 하품·침 삼키기 등으로 이관을 열어주는 것이 도움이 됩니다. 다만 먹먹함이 1주 이상 지속되거나, 통증·청력 저하·이명 등이 동반되면 이비인후과에서 고막 상태와 중이 압력을 정식으로 확인하는 것이 필요합니다.