아핫뉴스실시간 인기검색어
아핫뉴스 화산 이미지
화산 아이콘 11
테더 비트코인 매수
아하

의료상담

치과

개굴객울
개굴객울

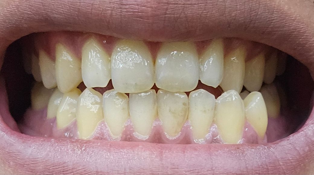
앞니가 까진것같은데 어떻게 치료하나요?

사진처럼 앞니가 부분부분 깨진건지 변색이 된건지 모르겠습니다. 몇년전에 비해 약간 더 심해졌는데 어떤 치료를 받아야하나요??

  • 1번 째 사진
4개의 답변이 있어요!
  • 안녕하세요. 송우식 치과의사입니다.

    정상적인 것으로 보입니다. 치아는 각각 모양이 조금씩 다를 수도 있습니다. 전문가인 제가 보기에도 깨진 것으로 보기 어럽습니다. 아래앞니 약간 검게 얼룩으로 보이는 것은 음식물에 의한 착색으로 보이며 치과에 가서 스켈링하면 없어집니다.

  • 안녕하세요. 김철진 치과의사입니다.

    치아에 착색이 된거 같으니 일단 치과에 가셔서 스켈링을 받아보시고 깨진부위는 많이 깨진게 아니라서 불편감이 없다면 그냥 사용하셔도 될것같습니다.

  • 안녕하세요. 김지훈 치과의사입니다.

    치아의 변색이 된 것으로 예상됩니다. 치아 미백 치료를 하거나 스케일링도 도움이 될 것 같습니다.

  • 안녕하세요. 안상우 치과의사입니다.

    치아가 깨진 부위가 넓지 않다면 그냥 사용을 해도 크게 문제가 되지는 않습니다. 하지만 심미적으로 신경이 쓰인다면 해당 부위를 레진이라는 재료로 충전을 해줄 수 있습니다. 자세한 확인을 위해서 치과에서 진료를 받아보는 것을 권유드립니다