아핫뉴스실시간 인기검색어
아핫뉴스 화산 이미지
화산 아이콘 11
정청래 통일교 특검 비판
아하

의료상담

치과

고독한여우22
고독한여우22

사랑니 다 자라는 데 걸리는 시간, 사랑니 어금니 교정

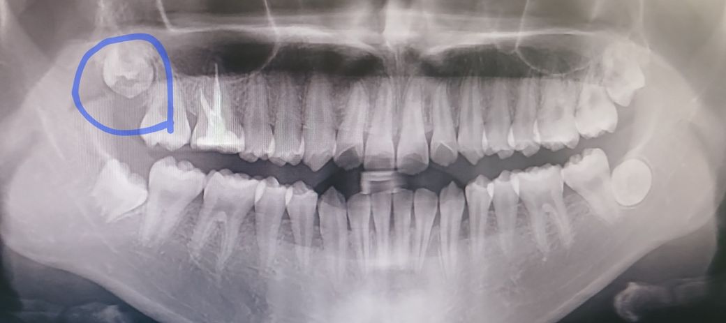
제가 16번 어금니 신경치료 후 크라운을 씌웠는데, 만약 나중에 발치를 하게 된다면 임플란트 없이 제 사랑니로 대체 가능한 지 궁금해요. 사랑니가 좀 작은 거 같은데 언제쯤 다른 치아처럼 형태를 갖출까요? 사랑니 잘 나려면 (+관리) 어떻게 해야 하는지 알려주세요. 지금 19세라 사랑니 잘 자랄 수 있겠죠? 발치하면 가랑니로 대체하고 싶은데.....ㅠㅠ

  • 1번 째 사진
5개의 답변이 있어요!
  • 사랑니로 치아를 대체하는 경우는 거의 없다고 보시면 되며 17번이아닌 16번을 대체하는 것은 불가능이라고 생각하시고 16번 관리 잘해주시면 됩니다.

  • 안녕하세요 치과의사 김철진입니다. 사랑니가 대체될경우에는 사랑니가 똑바로 맹출되어야됩니다. 나이가 19세라면 1-2년정도 시간이 지나면 사랑니는 대부분 완성됫을꺼에요.

    1. 이미 사랑니 형태는 갖춰졌고 바뀌진 않습니다. 어금니와는 조금 다른 모습일 수 있습니다.

    2. 아직까지 오른쪽 위 사랑니는 잇몸뼈 안에 묻혀있고 특별히 해줄 수 있는 건 없습니다.

  • 사랑니 앞의 치아를 손실하고 사랑니가 올라오면서 해당 부위로 올라갈 가능성이 있습니다. 사랑니가 올라오는 것은 사람마다 다르기 때문에 경우에 따라서는 앞의 치아에 걸려서 나오지 않는 경우도 있습니다. 자세한 확인을 위해서 치과에서 진료를 받아보세요.

  • 사랑니가 잘 나게하는 방법은 따로 없으며 선천적인 부분이 작용하게 됩니다.

    어금니를 대신하기 위해서는 사랑니가 틀어짐 없이 똑바로 올라와서 자리 잡아야 하나 이는 현재로써 예상은 어렵습니다.

    궁금증 해소에 도움이 되시길 바라며, 도움이 되신 경우 '👍' 부탁드립니다. 감사합니다.