아하
  • 토픽

  • 스파링

  • 잉크

  • 미션


의료상담

겁나자연친화적인부르주아

겁나자연친화적인부르주아

인접면 충치 꼭 치료 해야 하나요? 치과 2곳의 진료가 다릅니다 ㅠㅠ

기존에 다니는 치과에서 육안으로 인접면 충치를 발견하고 따로 엑스레이는 찍지 않고 인레이 35만원

진단 받았습니다

다른 치과는 엑스레이 찍어 보니 크기가 작아서

일단 좀 지켜보자 걱정이 된다면 2-3개월 뒤

다시 봐주겠다고 하셨습니다

제 생각엔 2번이 맞는 것 같은데 인접면 충치는

조금 다를까 해서 질문 드립니다

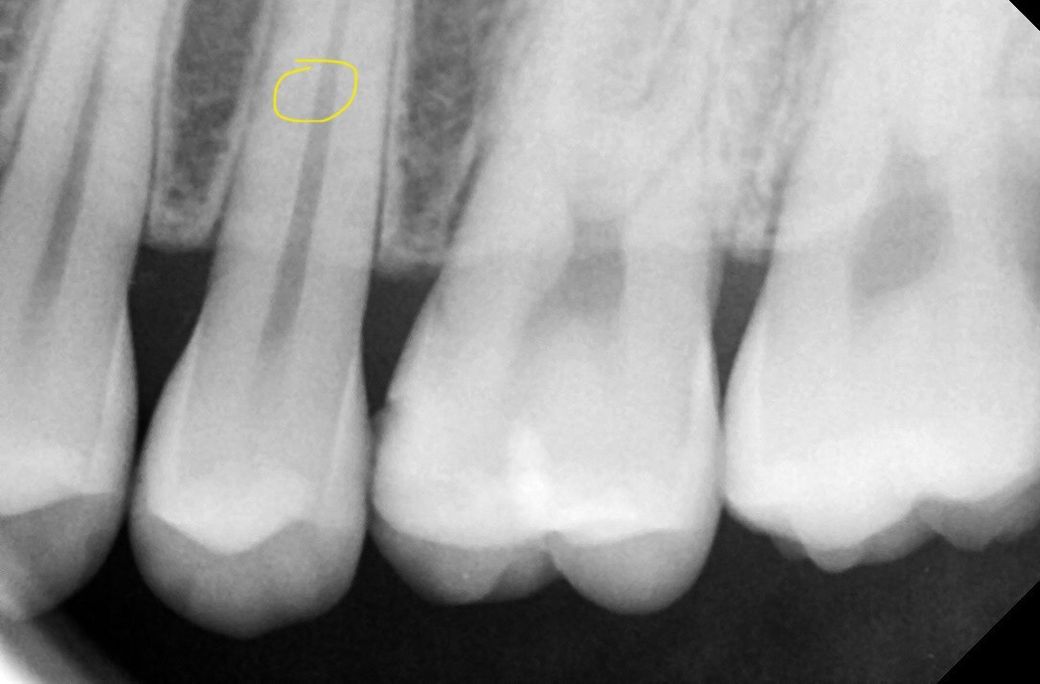
육안으로 보인다면 엑스레이 찍을거 없이 바로 인레이 진단하나요?

인접면 충치도 경과를 지켜 볼 수 있나요?

육안으로 확인 가능한 충치가 엑스레이로 작다는 것도 잘 모르겠습니다...

부위는 왼쪽 위 3번째 입니다

  • 1번 째 사진
  • 2번 째 사진

3개의 답변이 있어요!

  • 김철진 치과의사

    김철진 치과의사

    가까운우리치과

    안녕하세요. 김철진 치과의사입니다.

    육안으로 충치가 보이는경우 너무 심하거나 확실하면 따로 찍진 않지만 그래도 확인차원에서 엑스레이를 찍어보 보긴합니다.

  • 안녕하세요. 최석민 치과의사입니다.

    사진 수정해서 좌우반전하거나 그러셨나요? 엑스레이는 왼쪽 위 작은 어금니이고, 임상사진은 오른쪽 위로 추정됩니다.

  • 안녕하세요. 안상우 치과의사입니다.

    충치가 육안으로 보이지만 사진상으로 보이지 않는 경우에는 충치가 많이 진행되지 않았을 가능성이 있습니다. 인접면 충치의 경우에는 일반적으로 인레이라고 하는 보철물 치료를 하게 됩니다.