아하
  • 토픽

  • 스파링

  • 잉크

  • 미션


의료상담

날씬한큰고래2

날씬한큰고래2

앞니 파절로 신경치료 완료후. 보존과 vs 보철과?

앞니 두개가 똑! 하고 부러져 1/3정도 남았습니다.


파절 직후 가까운 야간진료 치과을 찾아 신경치료를 진행하고 3회만에 마무리를 했어요.


이제 크라운을 씌워야 하는데

치과에선 주조기둥세우고 크라운 씌우기를 추천하십니다.


하지만 제 나이가 아직 20대라..

포스트크라운의 수명을 생각했을때 재시술을 고려해서 현재는 최대한 제 이를 살리고 싶습니다.

보철물의 수명이 짧아진다고 하더라도 차후에 다른 시술이나 재시술을 할 수 있는 선택의 폭을 넓히고 싶어서요.


이 때, 저는 보존과를 찾아야 하나요 보철과를 찾아야 하나요???


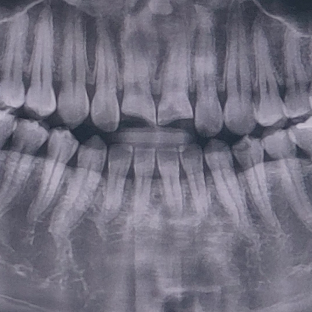
사진은 파절 직후 찍은 엑스레이입니다.


  • 1번 째 사진

4개의 답변이 있어요!

  • 내마음가는대로룰루랄라니나노

    내마음가는대로룰루랄라니나노

    안녕하세요. 한성미 치과위생사입니다.

    남아있는 치아가 별로 없어서 포스트없이 씌울 수는 없을 것 같아요. 그런데 치아가 3분의 1정도 남아있다면 화이버포스트를 사용하셔도 될 것 같아서 주조포스트까지 써야할지는 잘 모르겠습니다. 보통 주조포스트는 치아가 거의 뿌리만 남은 수준으로 없을 때 하는거라서요. 포스트하고 씌우는 것은 보존과나 보철과나 비슷합니다만 치과의사들마다 견해와 진료스타일이 다를 수는 있습니다.

  • 안녕하세요. 김철진 치과의사입니다.

    치아가 깨져서 신경치료를 한경우에는 크라운을 씌워주시는게 좋습니다. 일반적으로 신경치료는 보존과에서 크라운은 보철과에서 진행을 합니다.

  • 안녕하세요. 김지훈 치과의사입니다.

    두 과 어디를 가시더라도 크게 상관없습니다.

    대학병원에서는 보통 보존과에서 보긴합니다.

  • 탈퇴한 사용자

    탈퇴한 사용자

    안녕하세요. 장인아 치과위생사입니다.

    신경치료는 보존과이나..이미 신경치료가 끝났으니 보철물은 보철과에서 하면 좋을것 같습니다.

    도움이 되기를 바랍니다. 건강하세요.