아하
  • 토픽

  • 스파링

  • 잉크

  • 미션


의료상담

기막히게새로움이넘치는자라

기막히게새로움이넘치는자라

교정 중 잇몸 퇴축, 얇아짐 교정 계속해도될까요

제가 현재 교정 중인데, 잇몸이 많이 얇아졌다고 느껴서요 하얀 뼈가 잇몸에 다 비쳐보이고 특히 송곳니 쪽이 심하고요.. 시린 느낌도 듭니다

치과에서는 원래 제 잇몸뼈가 얇았어서 어쩔 수 없었고 걱정할 정도는 아니라는데 찾아보니까 다른 치과 블로그에 있는 교정 후 잇몸퇴축 사례와 유사한 것 같아 질문 드립니다

1. 당장 잇몸 이식이 필요한 상황인지 (그 정도로 퇴축이 심각한 상태인지)

2. 교정을 중단하지 않고 진행해도 될지

3. 좋은 관리법이 따로 있는지

진지하게 고견 여쭙고 싶습니다... 답변 주시면 감사하겠습니다 ㅠㅠ 20대 초 여자입니다

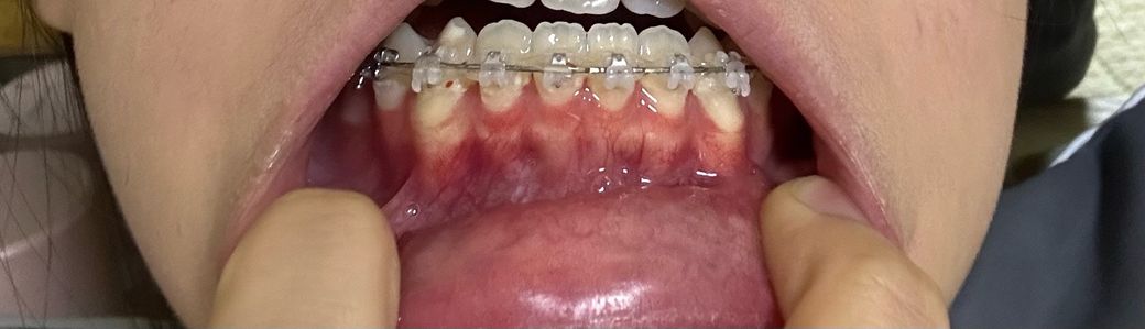
혹시 도움이 될까 싶어 잇몸 안쪽 사진도 첨부합니다

  • 1번 째 사진
  • 2번 째 사진
  • 3번 째 사진
  • 4번 째 사진

3개의 답변이 있어요!

  • 김지훈 치과의사

    김지훈 치과의사

    메가

    안녕하세요. 김지훈 치과의사입니다.

    잇몸이식이 당장 필요한 것은 아니며 최대한 치태 등에 대해 관리를 잘해줘야 하며 교정치료는 장단점이 있습니다.

  • 안녕하세요. 김철진 치과의사입니다.

    잇몸뼈떄문에 그러는거지 잇몸이 퇴축된건 아닌거 같습니다. 크게 걱정하지 않으셔도 될것같습니다.

  • 안녕하세요. 최석민 치과의사입니다.

    1. 당장 잇몸 이식이 필요한 상황인지 (그 정도로 퇴축이 심각한 상태인지) 그정도의 퇴축은 아니고, 필요하다해도 교정 중 잇몸 이식술은 의미없습니다

    2. 교정을 중단하지 않고 진행해도 될지

    본인선택입니다 교정 중, 후 잇몸 관련 부작용은 충분히 설명 들으셨을겁니다

    3. 좋은 관리법이 따로 있는지

    사진찍으려고 아래 입술 당기면 당연히 더 저렇게 보입니다 실제보다 과장된 겁니다 너무 걱정은 마세요

    바스법으로 양치하세요