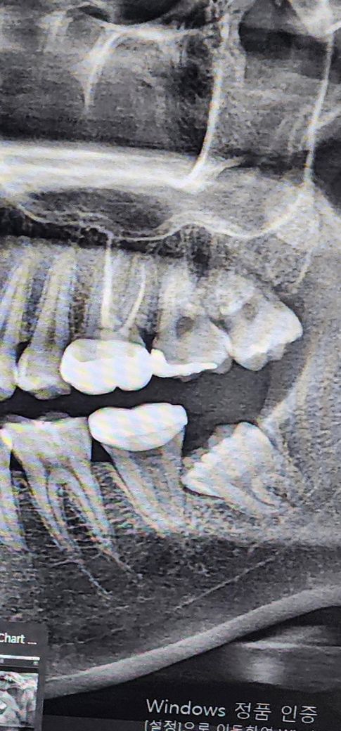
아래에 난 사랑니 두개가 있는데 이거 어떻게 해야할까요
저 사랑니들 꼭 뽑아야 하는 사랑니인가요?
그리고 신경이 연관되어있어서 일반 치과에서는
안되고 대학병원가서 발치해야한다는
대학병원에서 저거 발치하다가 신경 잘못
건드려서 사고 날 확률 얼마나 돠나요?
만약에 사고가 나면 어떤 후유증이 남나요?
그리고 뽑는다면 언제 뽑는게 좋을까요
좋아요와 추천 꼭 하고 있습니다.
안녕하세요. 송우식 치과의사입니다.
사랑니가 경사져 매복되어 있어 그대로 두면 바로옆 어금니가 상하게 되니 가능한 빨리 뽑는 것이 좋습니다. 구강외과 전문의가 진료하는 동네치과 가도 됩니다. 이런 케이스의 경우 사랑니 뽑은 후 후유증 나타날 확률은 비행기 사고날 확률 보다 조금 높은 정도로 보면 됩니다.
1명 평가안녕하세요. 송준범 치과의사입니다.
지금 문제가 없다면 무조건 뽑아야하는 것은 아니지만 맹출 방향을 봤을때는 아무래도 뽑아주는게 좋긴 합니다. 신경관이 근처에 있어보이긴 하지만 CT를 찍어봐야 알 수 있고 저정도라면 치과마다 다르긴 해도 대부분 발치할 수 있습니다. 구강외과 전문의 선생님이 있는 곳은 다 발치해주실겁니다.
발치과정에서 신경이 손상될 가능성은 매우 낮긴 하고 보통 임플란트 시에 사고가 나는 것 처럼 신경 자체를 절단하거나 손상시키는 것이 아니라 대부분 신경이 눌려서 일시적으로 그러는 경우가 많아 보통 6개월에서 1년 이내에는 대부분이 회복 되고 간혹 후유증이 남는 분들의 경우에는 혀나 입술 볼쪽 감각 저하와 감각이상 반응을 나타냅니다.
1명 평가안녕하세요. 최석민 치과의사입니다.
저 사랑니들 꼭 뽑아야 하는 사랑니인가요? -> 옆 어금니의 뿌리를 흡수시킬 가능성 있습니다.
신경 잘못 건드려서 사고 날 확률 얼마나 돠나요? -> 일시적, 반영구적 신경손상 등인데 가능성 낮습니다
발치 시기는 정해져있진 않으나 나이가 들수록 뼈와 유착되어 사랑니 빼기는 어려워집니다.
1명 평가안녕하세요. 김지훈 치과의사입니다.
사랑니 발치 시 부작용 확률은 수치적으로 얘기하긴 어렵습니다. 심하면 신경마비 등이 생깁니다.
1명 평가안녕하세요. 김철진 치과의사입니다.
아직까지는 별다른 불편감이 없다면 발치를 하지 않으셔도 될것같습니다. 사랑니 발치시 신경손상이 오면 마취가 풀리지 않는 증상이 지속됩니다.
1명 평가안녕하세요. 안상우 치과의사입니다.
사진으로 봤을 경우에는 사랑니가 매복되어 있기 때문에 문제를 발생시키지 않는 것으로 보입니다. 사랑니가 완전히 매복되어 있고 문제가 발생시키지 않는다면 발치를 하지 않아도 됩니다.
1명 평가

