스케일링 후 윗 잇몸 한부분 양치질 할때 아프네요
1년? 만에 가서 스케일링 했는데
하루 뒤 양치하는데 윗 잇몸 앞니에서 오른쪽 두번째 위가
아프더라구요 혀로 만지면 뭔가 살짝 묘하게 튀어나온 느낌?
위생사님이 스케일링 하고나면 그럴수 있다고
몇달갈수도 있다고 하시는데 아파도 살살 닦으라고
하시는데 괜찮은걸까요.. 불안하네요.
조만간 사랑니 뽑으러 갈때 치과 선생님께 묻는게 확실할까요?
안녕하세요. 송우식 치과의사입니다.
스케일링을 하는 경우 치석을 제거하는 과정에서 이물질을 제거하기에 일시적으로 시린느낌이나 잇몸에 통증을 느낄수는 있지만 곧 회복되는 현상이기에 걱정하지 않으셔도 되며 너무 쎈자극은 주지 않길 권합니다.
안녕하세요. 정진석 치과의사입니다.
일시적인 잇몸 손상일 가능성이 큽니다. 즉 해당 부위에 치석이 있다가 제거가 되면 치석과 치아 그리고 잇몸 사이가 일시적으로 벌어져 있을 수 있으며 이때 해당 부위의 연조직이 붓고 피가 날 수 있습니다. 큰 문제가 되는 것이 아니며 2주 안으로 대부분은 증상 없이 회복됩니다.
아무쪼록 저의 답변이 문제 해결에 작게 나마 도움이 될 수 있기를 기원드립니다. 항상 건강하고, 행복하세요^^
정진석 치과의사 드림
안녕하세요. 김철진 치과의사입니다.
왼쪽위 작은어금니 쪽에 살짝 상처가 잇는거 같습니다. 그쪽부위에 염증이 잇어서 스켈링을 쫌 강하게 하신거 같네요. 크게 문제가 잇거나 그렇진 않습니다.
안녕하세요. 안상우 치과의사입니다.
스케일링을 할때 치석이 많았거나 하면 염증으로 인해서 약해져 있는 상태이기 때문에 칫솔질을 할때 약한 힘으로 하는것이 좋습니다.
대부분 시간이 지나면서 괜찮아 지게 됩니다.
안녕하세요. 장인아 치과위생사입니다.
잇몸 염증이 심하고 치석이 많은 경우 스켈링후 일시적으로 통증이 있을 수 있습니다. 경과를 지켜보는것도 좋을것 같습니다.
도움이 되기를 바랍니다. 건강하세요.
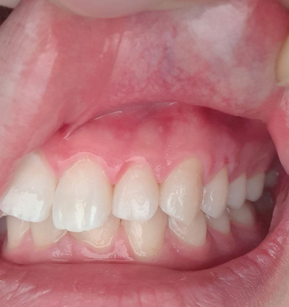
안녕하세요. 김지훈 치과의사입니다.
사진 상으로는 건강한 잇몸으로 보이기 때문에 일시적인 증상으로 생각되며 증상이 계속되면 해당 치과선생님께 여쭤보세요

