의료상담
55글자 더 채워주세요.
5개의 답변이 있어요!
안녕하세요. 김지훈 치과의사입니다.
보통은 5년 이상 쓰지만 깨지는 경우도 간혹 있습니다. As 는 치과마다 다르며 보통은 1년 정도 이긴 합니다.
안녕하세요. 김철진 치과의사입니다.
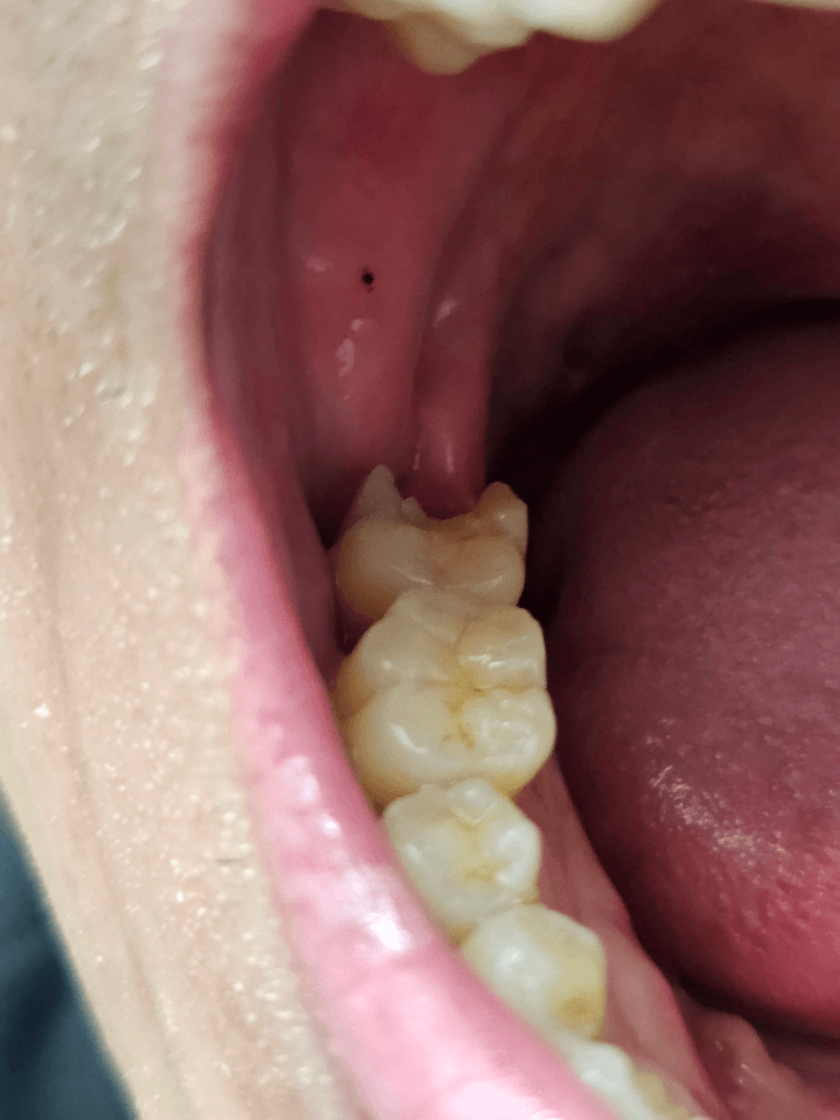
치료를 한곳이 떨어진게 아니라 치료한곳가 치아가 깨진거 같습니다. 3년정도 되엇다면 a.s기간이 지나지않앗을까 생각됩니다. 치과마다 다르니 일단 문의를 해보세요.
안녕하세요. 최석민 치과의사입니다.
1. 3년정도 지난 치료는 as는 어렵습니다
2. 떼운것 뿐만 아니라 치아도 일부 같이 떨어진 것 같습니다
3. 범위가 커서 인레이로 해야할 수도 있으며 추가적인 검사를 받아봐야 합니다
안녕하세요. 정경호 치과의사입니다.
사진 상으로 보기에 수복 부위가 꽤 커 보이네요. 인레이나 크라운 치료가 필요할 수도 있어 보입니다. 치료받으신 치과에서 상담받아보시길 권유드립니다. 비용 처리는 치과마다 차이가 있습니다.
안녕하세요. 안상우 치과의사입니다.
보철물이 탈락했다면 빠른 시일 내에 치과에서 다시 부착을 해주는 것이 좋습니다. 보철물이 변형되지 않고 치아의 충치가 없다면 다시 부착할 수 있는 경우가 있습니다. AS의 여부는 치료를 받은 치과에 문의를 해보는 것이 정확합니다.

