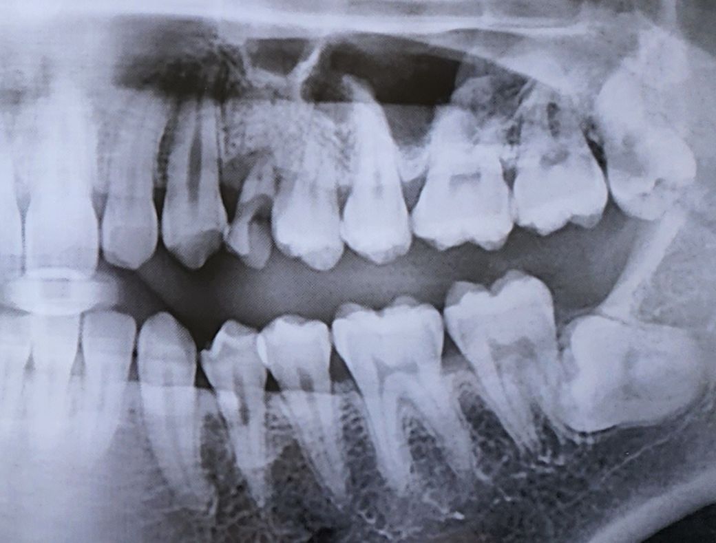
엑스레이 사진 상으로 충치 많아보이나요
엑스레이 보는 방법은 대충 알긴하는데 많은지는 모르겠어요.
상악 하악 6~7번 치아들 눈으로 보면 까만 점이나 까만 실선이나 이런게 보이긴 하는데 엑스레이 사진상으로 법랑질은 괜찮아보이기도 하고.. 또 어떤 의사분은 까맣게 보인다고 충치는 아니라고 하고.. 오우~~~ 누구 말이 맞는가요
일단 사랑니랑 24번 유치는 충치가 확실해서 빼려고 하고 있어요.
안녕하세요. 송우식 치과의사입니다.
어금니 즉 제1대구치와 제2대구치의 교합면(씹는면)의 충치는 x ray 만으로 확인하기
어려우나 치아와 치아 사이 충치(인접면)는 현재 x ray 상에서도 확인됩니다.
안녕하세요. 박종열 치과의사입니다.
당장 치료를 요하는 치아는 없어 보입니다.
사랑니는 발치를 추천드립니다 .
다른 증상이 있다면 임상 검사를 통해 다른 치아에 대한 치료를 하시면 될 것 같습니다.
안녕하세요. 이정현 치과의사입니다.
충치에 대한 판단은 엑스레이와 직접 눈으로 보는 검사를 통해서 결정하게 됩니다.
사진상으로 치아사이 충치가 몇개가 있는것처럼 보이지만, 정확한것은 눈으로 보면서 최종 판단을 해볼 수 있습니다.
또한 육안상으로 실선, 점등이 보이는경우, 초기충치라면 좀더 관리해보셔도 되고, 엑스레이로는 보이지 않지만 2단계이상의 충치라면 치료하는게 좋습니다.
답변이 도움이 되길 바랍니다. 감사합니다.
안녕하세요. 정진석 치과의사입니다.
방사선 사진 상에서 까맣게 보인다고 해서 반드시 충치는 아닙니다. 말씀하신 파노라마 사진은 3차원 자료를 2차원으로 나타내기 때문에 방사선에 상당한 왜곡이 있을 수 있으며 방사선 x-ray 및 관구가 통과하는 각도에 따라서 충치가 아닌데도 tearing이 일어나서 검게 보일 수 있습니다.
아무쪼록 저의 답변이 문제 해결에 작게 나마 도움이 될 수 있기를 기원드립니다. 항상 건강하고, 행복하세요^^
정진석 치과의사 드림
장도연이 추천하는 아하!
앱으로 편리하게 사용해 보세요.