의료상담
입몸에 난 점이 구강 흑색종은 아닐지 염려됩니다
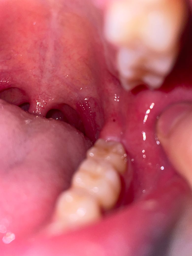
잇몸에 검고 아주 작은 점같은게 낫습니다. 색은 약간 불그스름해서 상처가 난데 딱지가 앉은건지 점인지 구분이 잘 가지 않습니다. 발견은 오눌 처음 발견했습니다. 위험한 점일까요? 너무 불안합니다ㅠㅜ
55글자 더 채워주세요.
3개의 답변이 있어요!
안녕하세요. 김철진 치과의사입니다.
잇몸에 상처가 낫거나 잇몽미 씹혀서 안쪽에 피가 고여 잇는거 같습니다. 크게 문제가 잇는건 아니니 너무 걱정하지 않으셔도 될것같습니다.
안녕하세요. 안상우 치과의사입니다.
사진으로 보이는 것은 잇몸에 착색이 된것으로 보입니다.
큰 문제를 일으키지는 않을것으로 보입니다. 너무 걱정하지 않으셔도 되지만 걱정이 되신다면 치과에서 진료를 받아 보세요.
안녕하세요. 송우식 치과의사입니다.
현재 사진상으로는 흑색종을 판단하기는 어려우며, 우선 상태를 지켜보고 만약 크기가 커지거나 통증이 동반시에는 치과 진료를 받길 권합니다.
궁금증 해소에 도움이 되시길 바라며, 도움이 되신 경우 '추천' 부탁드립니다.

