의료상담
턱 돌출 성형 및 구강악 수술에대한 문의
아하에 치과쪽에 질문을 자주애용해서 여기에 의사님들 개인적인 의견을 여쭙고자 질문남깁니다
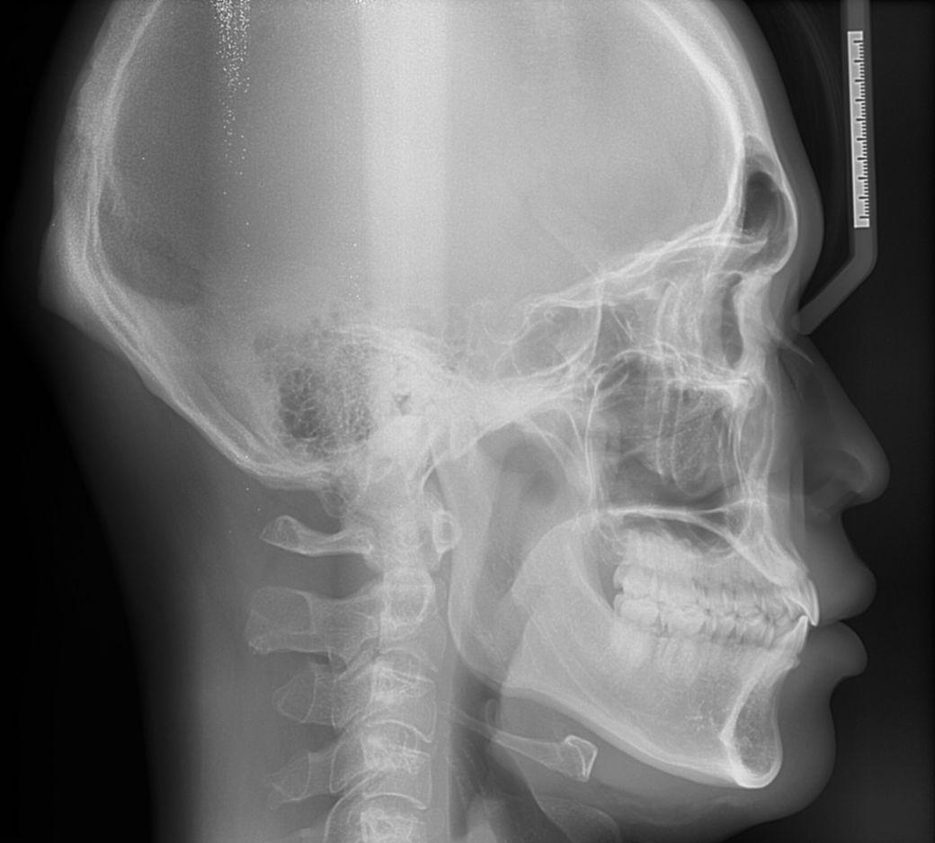
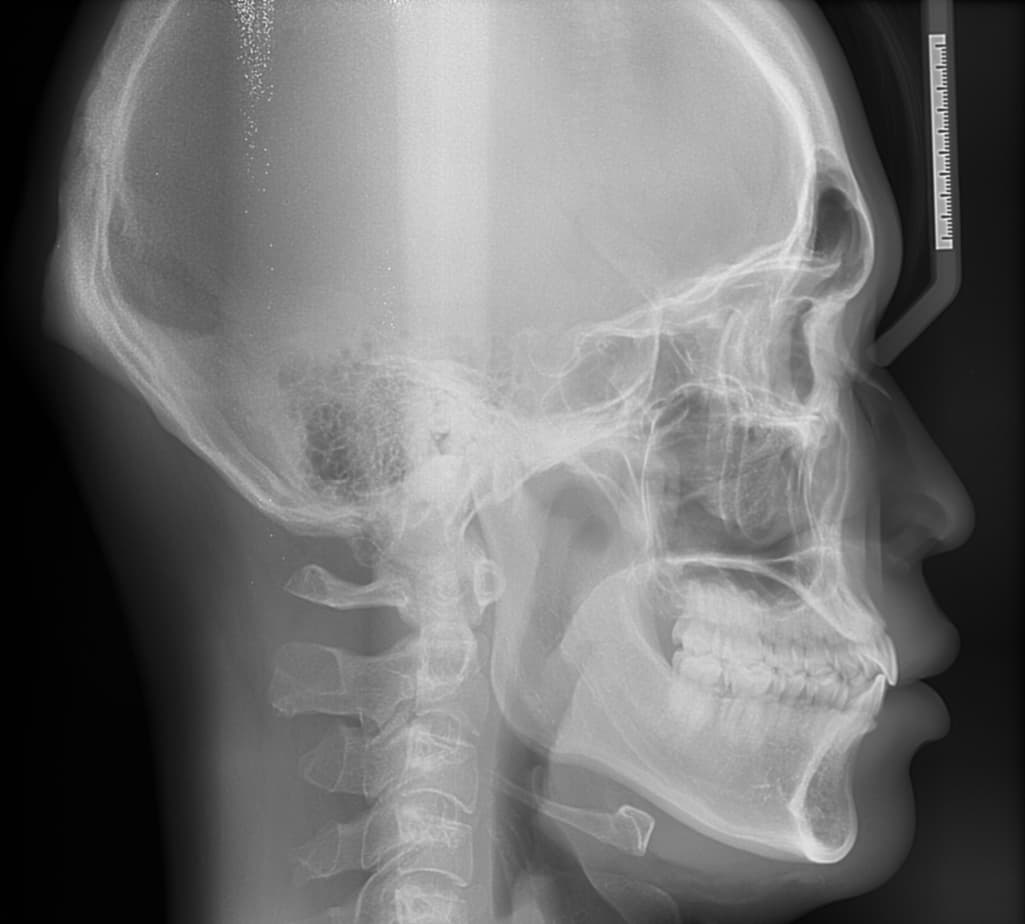
구강악외과에서 턱정밀상담 결과 하관평균길이가 성인남성평균보다 길고 돌출되었다고 들은 이후에 신경이 쓰여 수술 질문좀 하고싶습니다
의사분께서는 기능적으로 이상은 없다고 수술을 권장하지는 않았습니다 미용적인거라고해서..
아하 의사님들 개인적인 생각으로는 하관 수술하면 괜찮아질까요?
그리고 돌출된 턱만 따로 수술가능한가요?
수술이란게 기능개선이 주목적인데 저는 미용목적이니 괜히 할려고 고민하는게 아닌가 걱정되어서요
양악수술이나 하관수술해서 괜히 후회할까봐서요
실제와 사진은 다르겠지만 ct와사진만보고 개인적은 의견 적어주시면 참고하도록 하겠습니다
댓글달아주시는 의사님들 감사합니다^^
55글자 더 채워주세요.
2개의 답변이 있어요!
안녕하세요.
현재는 수술이 필요할 정도로 하악이 돌출되거나 발달하지는 않았습니다.
지극히 일반적인 턱으로 억지로 턱을 넣을 경우에 이에 따른 부작용도 생각해야 하며
수술로 인해 오히려 소하악증이나 코골이 등의 문제가 생길 수 있어 자연 그대로가
가장 안전할 수 있습니다. 감사합니다.
안녕하세요 아하(Aha) 의료, 코로나 카테고리에서 활동중인 전문의입니다.
미용목적으로 하는 하악 수술은 미관상으로는 턱이 줄어드는 효과가 있습니다.
그 효과는 환자마다 크기가 다르지만 일반적인 시술보다는 효과가 큽니다.
참조하시어 도움이 되기를 바랍니다.

