아하
  • 토픽

  • 스파링

  • 잉크

  • 미션


의료상담

대담한원숭이50

대담한원숭이50

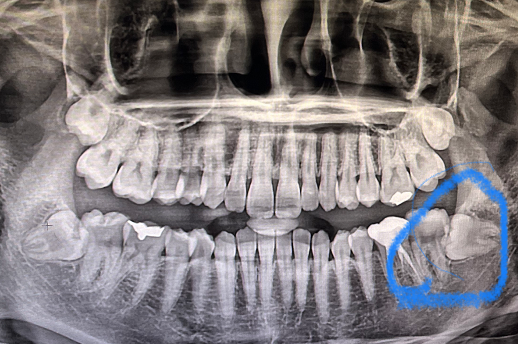
완전매복수평사랑니 발치 후 턱 찜질해도 되나요?

안녕하세요! 완전매복수평사랑니 뽑고 2주 정도 된 사람입니다. 현재 발치부위쪽 잇몸에 구멍이 크게 있고 염증 때문에 입 안 쪽 볼도 부어있는 상태입니다. 제가 발치 전에는 턱관절, 턱근육 통증 때문에 따뜻하게 (사실 좀 뜨겁게..) 찜질을 해주고 있었는데요, 지금 이 상태에서도 따뜻하게 찜질을 해주어도 괜찮을까요??






혹시 몰라서 이번에 뽑은 사랑니 표시한 사진이랑 턱찜징팩 사진 첨부합니다!!

  • 1번 째 사진
  • 2번 째 사진

2개의 답변이 있어요!

  • 탈퇴한 사용자

    탈퇴한 사용자

    안녕하세요. 장인아 치과위생사입니다.

    발치후 2주가 지났다면 긴장완화를 위한 온찜질과 맛사지 해도 괜찮습니다..뼈가 차오를때까지 발치 부위가 자극에 예민할수 있고 안쪽의 뼈가 자극에 쉽게 노출되고 턱관절도 좋지 않으니 딱딱하고 자극적인 음식은 주의하면 좋을것 같습니다.

    도움이 되기를 바랍니다. 건강하세요

  • 안녕하세요. 김철진 치과의사입니다.

    사랑니 발치 2주정도 지낫다면 턱관절에 온찜질을 하셔도 크게 문제가 되지 않습니다. 턱관절이 불편하시면 마사지와 찜을 하셔도 됩니다.