아하
  • 토픽

  • 스파링

  • 잉크

  • 미션


의료상담

갈수록유식한연예인

갈수록유식한연예인

사랑니자리 잇몸이 부었어요 사랑니인가요?

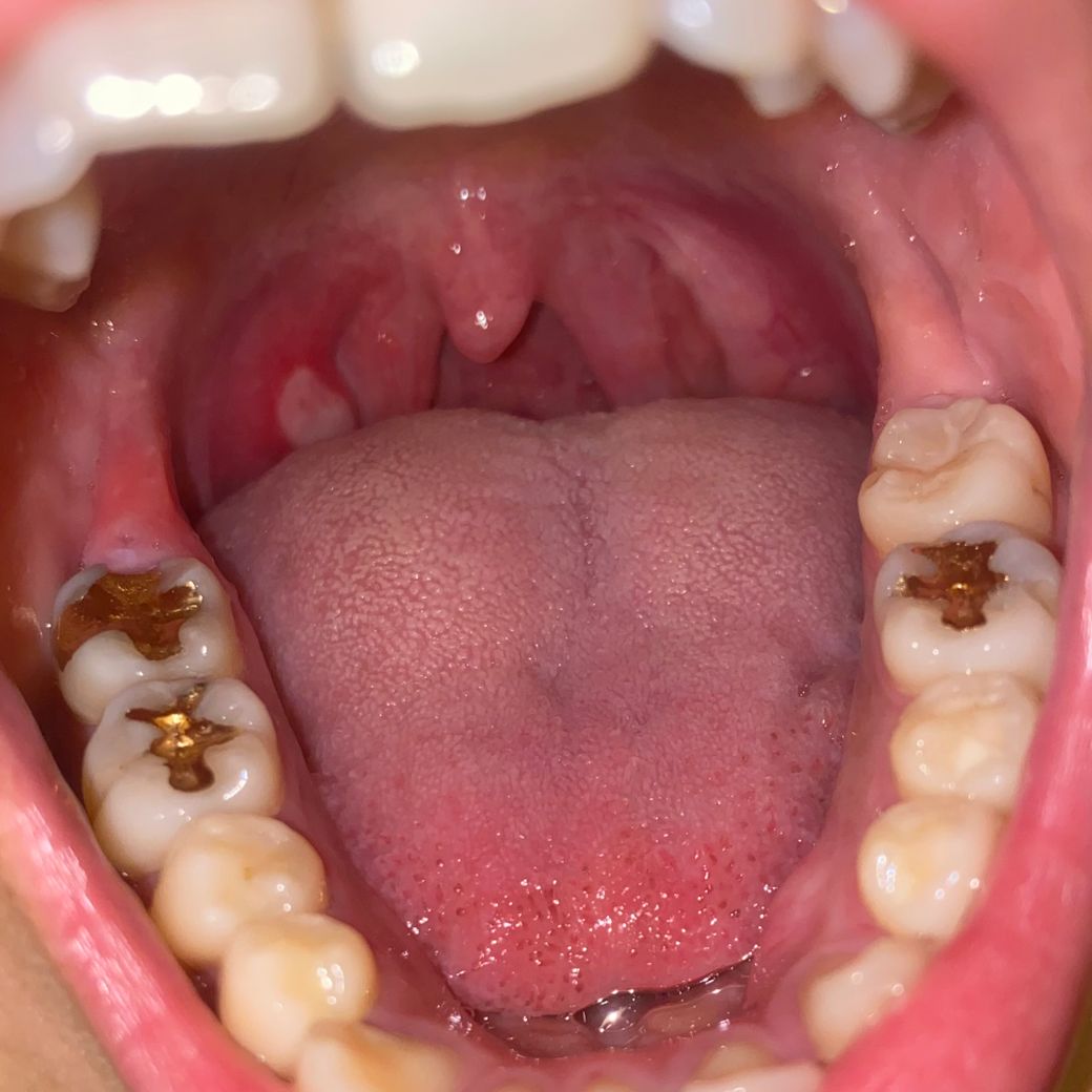
29살 여자입니다. 사랑니 뽑은적 없고 있는지 없는지도 모르고 살았어요. 근데 오늘 갑자기 불편한느낌이 들길래 사진 찍었더니 저렇게 돼있네요(사진상 왼쪽 어금니 뒤쪽)구멍도 난것같고..

만져보니 말랑말랑하게 부어있는 느낌이에요. 통증도 살짝 있구요.

그리고 사진에도 보이는데 제가 편도에 구내염도 났고 혀끝도 붉고 불편한느낌이 있어요. 지금 면역력이 떨어져서 입병이 많이 나고있는데 혹시나 사랑니가 아닌 잇몸염증인가 싶기도 해요. 그리고 아픈쪽 턱 만져보면 림프 부은것처럼 통증이 있어요. 이거 뭔가요? 사랑니인가요?

  • 1번 째 사진

3개의 답변이 있어요!

  • 김철진 치과의사

    김철진 치과의사

    가까운우리치과

    안녕하세요. 김철진 치과의사입니다.

    사랑니쪽에 관리가 안되서 염증이 생겻을수도 잇으니 치과에 가셔서 엑스레이 촬영후에 검진을 받아보시는게 좋을것같습니다.

  • 안녕하세요. 안상우 치과의사입니다.

    잇몸은 면역력이 떨어지면 영향을 많이 받는 조직입니다. 

    사진으로 봤을 경우 사랑니가 나오는것일수도 있습니다 정확한 확인을 위해서는 치과에서 파노라마 사진등을 찍어보는것이 좋습니다 

    자세한 확인을 위해서 치과에서 진료를 받아 보세요.

  • 안녕하세요. 최석민 치과의사입니다.

    네 사랑니로 인한 치관주위염 같습니다 매복된 경우 잇몸안에 파묻혀 안보일 수 있고 염증을 유발할 수 있습니다

    편도 부위 염증도 이와 연관될 수 있습니다